
IHCA →肺栓塞還是其他問題?
來看看一位有趣的個案。
85歲女性、癌症病史。到院時喘、低血壓,意識模糊。
ECG interpretation(請看上圖):Baseline不穩
Rate:120
Rhythm:Sinus
Axis:RAD
Newly RBBB(之前ECG沒有)、1st AVB
雖然Baseline不穩,但可以見到似乎有STD over V2V6、I/aVL(Maximal在V3V4),此處若能重做一次比較清楚,但我想病患狀況不好,這或許已經是很清楚的一張了。STE over aVR、III
V1不太清楚是STE還是STD。如果是STE:
那麼R’t precordial leads STE(指V1、V2、aVR、±III) + RAD需要特別考慮Hyper-K、PE、Na channel blocker toxicity這三個DDx
⭐️Case繼續
後續病患因為呼吸不好、血壓又低,已經快要collapse。
檢查中,PE仍為首要需要排除的診斷。(臨床症狀、ECG:RAD、newly RBBB、POCUS:似乎見到有RV dilate但無D-sign)

這張是50分鐘後的ECG**(Fig.1)**,幾乎沒有baseline不穩的干擾。
RAD、RBBB、STE over III、aVR、STD over V2V6(Maximal at V3V4)、I/aVL。這邊可以很確定在precordial leads的Maximal lead在V3~V4,而且是excessive discordant。
在RBBB pattern中,常見在V1~V3有TWI與mild STD**(如果有的話)**,但是STD不超過1 mm。所以超過了1 mm代表了,有某個力量把STD往下拉1。
➡️什麼力量?Post.wall OMI(後壁血管阻塞)。
另外aVR STE + Diffuse leads STD的DDx非常多。
有血管的問題,也有不是血管的問題。

總之看到aVR STE,就像看到了一個垃圾桶。很多診斷都在裡面。如果病患有ACS的症狀合併aVR STE的確要考慮,LM、TVD、Proximal LAD問題。
但是有更多情況是沒有ACS症狀,只有光看到aVR STE,這時候千萬不要spinal reflex就說病患是上述血管問題。應該仔細想想可能的原因。
另外要注意的是,在ESC 2020 NSTE-ACS guideline裡面有提到,Very High risk的Non-STEMI病患建議在2小時內做到Emergent PCI(Fig.2-左下表格)
表格中可以見到,除了我們熟悉的血行不穩、跳VT/Vf、ischemic related HF、refractory ischemic pain、cardiogenic shock,另外就是出現至少6個lead有STD > 1 mm + aVR STE也算是Very high risk病患。
當然前提是這位病患是Non-STEMI病患才能用此表格!至於這位病患是不是,接著往下看~~~~
CV man到現場on了PCPS來support生命徵象,以利後續檢查。PCPS中,病患整個collapse,開始了CPR。
問題:如果此時我們高度懷疑pulmonary embolism引起的collapse or peri-arrest,我們要如何處理?
- PE with collapse若給予積極CPR+立即rTPA(用50 mg push)→有研究顯示35%可以survival to discharge(MAPPET study)2
⭐️Case再度繼續
病患On上小型葉醫師(PCPS)後,ROSC,慢慢變穩。之後去做了Chest CTA,並沒有看到任何肺部血管阻塞。
後續在急診的TnI報告出來約30 ng/ml。
病患先上去加護病房。Fig.3為入加護病房後的ECG(大約4.5 hrs from ER)。
一樣可見到STD over V1V6(Maximal at V3V4)、RBBB,但是速度變慢了。

這邊有一個小小的重點。有看到上面aVR STE的DDx表格處,normal variant有SVT、AfRVR嗎?
臨床上如果我們看到,PSVT or AfRVR跳非常快的狀態下,因為oxygen demand/supply mismatch,所以容易出現tachycardia related global ischemic ECG pattern。
問題:如果出現了心跳過快合併multiple leads STD + aVR STE,此時要如何判斷到底是否是Post.wall OMI還是diffuse subendocardia ischemia呢?
Podcast 128 - Who Gets A Right-Sided ECG? w/ Dr. Stephen Smith & Tom Bouthillet
這篇Podcast裡面,主持人Tom Bouthillet詢問Dr.Smith**(16:41開始聽):**
- 如果遇到了AfRVR等的tachycardia,因為跳太快,所以會有aVR STE with diffuse STD的ECG pattern出現。是否要先降低H.R再來評估是否是posterior OMI or subendocardial ischemia➡Stephen Smith表示先降低H.R(去除tachycardia related ischemic ECG pattern因素)
- 若H.R降下來,去除了subendocardial ischemia的狀態,仍可見到Maximal STD在V1~V4,則會比較像posterior OMI。
- 此外Bedside echo的角色➡在subendocardial ischemia會完全正常(因為epicardial vessel是正常的),在posterior OMI則可能會有**basal inf.lateral wall RWMA(17 segment中的Segment 5 )。**如果echo看起來動得不錯,那麼H.R下來時,如果是subendocardial ischemia引起的aVR STE+multiple leads STD,理應改善。
還想多看一些類似例子增加實力嗎?3
A man in his early sixties with palpitations
事實上Paper是寫Segment 4才是所謂的Post.wall(Fig.4)4

**Tips:**如果H.R過快引起multiple leads STD+aVR →先降H.R(若H.R下降仍可見Maximal STD over V1~V4 →想Posterior OMI)
**Tips:**Echo也可以協助辨識Posterior OMI與subendocardial ischemia
⭐️Case繼續
我們可以看到Fig.3,心跳已經慢下來了,其有maximal STD在V1~V4。所以不管如何,照Dr.Smith最新研究的文章。(近期會出在Journal of AHA)

不管如何一定要先想Posterior OMI,直到證明不是為止。這邊表示只要看到Maximal STD over V1~V4,不管amplitude多小。先猜Posterior OMI就對了(Highly specific)。
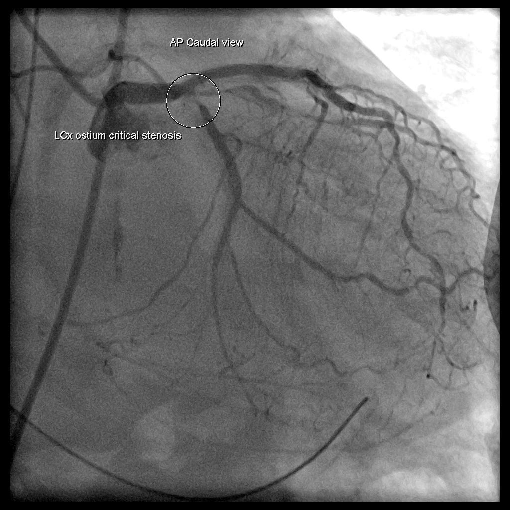
病患4小時後的TnI飆到250 ng/ml(Large myocardial infarction)。之後在5小時後進入導管室去做PCI。CAG如下Fig.5,顯示了LCx critical stenosis與RCA CTO
所以這個Case是因為LCx critical stenosis引起的large myocardial infarction導致collapse,並不是因為肺栓塞引起。
我們來看一下PCI後的ECG(Fig.6),就可以知道LCx確確實實就是culprit lesion並不是隨便說說的。

上面這張是Post-PCI的ECG。我們可以看到什麼 →T wave變大、Upright在precordial leads。
首先我們要知道出現Reperfusion rhythm有兩種狀況:請看Fig.7下方reperfusion的ECG change
- 血管自己通了
- 別人幫忙通了(使用PCI or thrombolytics agents)
正常Reperfusion rhythm會先出現Biphasic TWI之後變成Deeply TWI →還記得Wellen’s syndrome嗎?Wellen’s syndrome就是出現Reperfusion rhythm的ECG pattern。
那麼Posterior OMI出現Reperfusion rhythm會出現什麼狀況?
在V1V4會出現變大且Upright T wave(對應到Post.wall就是出現Deeply TWI這種reperfusion rhythm)。所以有看到V2V4是不是出現超大T wave →這又叫做Posterior Wellen’s syndrome。
這邊要注意,別和De-Winter’s T wave搞混了。可以參考這篇,我寫的文章來做區分5。
⭐️統整一下這篇重點:
- 在RBBB的morphology下要看是否有無ischemia →訣竅:不應有任何ST deviation(除了V1~V3可能會有mild STD與TWI),且STD不應超過1 mm
- RBBB+Posterior OMI要如何診斷出來 →在V1~V4有excessive discordant STD(也就是超過1 mm的STD),就要考慮
- 如果有合併tachycardia related aVR STE+Multiple leads STD →先降H.R,來去除因為心跳過快造成subendocardial ischemia的狀況,若去除了,仍可見V1~V4有Maximal STD →請記得考慮Posterior OMI
- 若在Precordial leads看到multiple leads STD,分不清楚是否是subendocardial ischemia or Posterior OMI →可以做Bedside echo與Post.leads來協助區分。不過Post.leads有可能會有false-negative可能(也就是確實有Posterior OMI,但因為low voltage,導致Post.leads STE不明顯,所以被誤判為沒有)。
- 最後我仍然覺得,這個case,我實在很難在第一時間去區別這個Case到底是PE還是AMI。幸好,CV man強力支持PCPS,才有後續的檢查、診斷出現。不過這個Case的ECG著實讓我學了不少。
Dr. Smith’s ECG Blog: Posterior ST Elevation MI in the Setting of Right Bundle Branch Block, with Posterior Leads V7-V9 — link ↩︎ ↩︎
Kasper, W., Konstantinides, S., Geibel, A., Olschewski, M., Heinrich, F., Grosser, K. D., Rauber, K., Iversen, S., Redecker, M., & Kienast, J. (1997). Management Strategies and Determinants of Outcome in Acute Major Pulmonary Embolism: Results of a Multicenter Registry. __Journal of the American College of Cardiology__, __30__(5), 1165–1171. https://doi.org/10.1016/S0735-1097(97)00319-7 ↩︎ ↩︎
Dr. Smith’s ECG Blog: A man in his early sixties with palpitations — link ↩︎ ↩︎
Bayés de Luna, A., Wagner, G., Birnbaum, Y., Nikus, K., Fiol, M., Gorgels, A., Cinca, J., Clemmensen, P. M., Pahlm, O., Sclarovsky, S., Stern, S., Wellens, H., & Zareba, W. (2006). A New Terminology for Left Ventricular Walls and Location of Myocardial Infarcts That Present Q Wave Based on the Standard of Cardiac Magnetic Resonance Imaging: A Statement for Healthcare Professionals From a Committee Appointed by the International Society for Holter and Noninvasive Electrocardiography. __Circulation__, __114__(16), 1755–1760. https://doi.org/10/d4gnjk ↩︎ ↩︎
這是Post.Wellen syndrome還是De Winter? — Tsao Jian-hsiung — Medium — link ↩︎ ↩︎


