67歲女性,胸痛1~2天,今早大痛
67歲女性,胸痛1~2天,今早大痛

這個Case,是上個月某個夜班,上到早上準備下班的最後半小時。我突然被告知,等等會有一位胸痛病患到院**(敢情是VIP,病患還沒到,幫忙電話到是先到了)**。
護理師說,就靠我了~~~
心想,剩最後半小時,到底靠我要怎樣啦XD
不廢言,來看看我們可以從這個Case學到什麼吧!!!
病患到院時,看起來真的是非常的痛,痛到整個臉都糾結在一起了。她說這1~2天一陣一陣的胸痛。早上開始大痛,痛到後背,痛到冒冷汗。
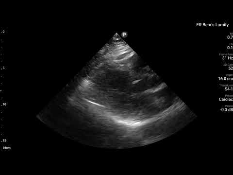
先來判讀一下ECG
**Rate: **63 bpm
**Rhythm: **SR with APC
**Axis: **Normal axis
**Interval: **No QT prolong
**Ischemia: **運用QRSTU來判讀
- 沒有看到明顯的pathologic Q wave
- PRWP(+)
- STE in V1~V4
- Hyperacute T wave over V2~V4
在Ischemia的部分,我們放大V1~V4

V1的STE有1 mm
V2的STE有2 mm
V3的STE有1.5 mm
V4的STE有1 mm
根據STEMI criteria的定義,在所有的leads裡面,V2~V3如果是女性不管年紀,要>1.5 mm才是有意義的高,其他的10個leads只要有1 mm高就算是高。連續兩個leads有高,就是有意義。
所以這個Case的的確確是符合STEMI criteria。
如果再配合V2~V4有Hyperacute acute T wave的出現。此外出現PRWP,其實已經可以診斷,LAD occlusion了。
但是,這張ECG能夠讓CV man認可,啟動心導管嗎?等會兒說…….
Fig.1這張心電圖,除了ischemic ECG change外,還有一個有趣的artifact。


我們先看左側limb leads,出現ECG artifact為Lead I與Lead III,Lead II沒有出現artifact。
那麼我們來看看Fig.2右側的圖就可以知道,問題出在哪一個lead了。問題出在做ECG時,左手(LA)動了,導致有連到左手的Lead I/III都有問題。
把Fig.2右側圖畫出來,可以很快得知是肢體哪個部分讓limb leads出現了ECG artifact。只要5秒鐘,就能判斷出來。
Case continue
剛剛說到,這樣的subtle precordial leads STE、PRWP、Hyperacute T wave,能夠讓CV man覺得這胸痛是AMI嗎?
每個CV man心中都有一把要Cath lab activation的尺,這把尺多長多短,我們急診科沒辦法改變。
病患在我們急診科手上(至少在急診,我們是duty VS),我們的目標是什麼?
這幾年對心電圖的可重複性、便利性的多個特性。深深覺得是一個非常好協助診斷AMI的工具。既然有工具,那麼我們的目標是什麼?
目標就是提早找出OMI(Occlusion MI)病患,並且說服CV man,讓OMI的病患去接受再灌流治療。打通血管,挽救殘純存的心肌細胞。
如果CV man看到此ECG,也認為血管有阻塞,也立刻啟動心導管。I respect~~~
如果CV man看到此ECG,不認為血管有阻塞,I also respect~~~
就醫療立場,不管急診科還是CV man都是為了病患好。
無法立刻啟動心導管,這代表了我們還沒辦法有足夠MI證據說服對方。這是我自己的想法。
所以我自己這幾年希望自己的心電圖判讀能夠更精準,就是希望我在判讀時有足夠的證據,來說明這位病患是需要立刻做導管,而不是擺著追蹤心臟酵素。
又講了一堆心中廢話。
總之CV man覺得到院時ECG(Fig.1)看起來不像有MI。

Fig.3是10分鐘後的ECG,仍持續胸痛,但症狀緩解一點。把Fig.3和Fig.1拿來lead by lead比較,V3V4的Hyperacute T wave有改善,V2V4的STE有降低。這種ECG變化,我們叫做dynamic STTC,這暗示了血管有問題才會如此。
當下有幫病患做echo,讓我們來看看echo有哪些findings?




藉由echo,我們可以看到,LAD支配的Ant.wall幾乎不太動。(請搭配Fig.4安心服用)
ECG在LAD支配位置的Precordial leads出現Subtle STE/PRWP/HATW/此外10分鐘後的dynamic STTC,另外加上echo看到ant.wall有RWMA。這些證據不管怎麼樣都實實在在說明,LAD出現問題了。
總該要去導管了吧????
沒有~~~~~~Orz
後來我要下班了。我和病患身旁的長官說,這看起來很有可能是心肌梗塞。
當晚上再次上班時,我詢問陪在這位病患身旁的長官,倒底為何CV man最後還是去做了心導管。
她說我離開急診後,病患後來胸痛痛到漏尿,她問CV man該怎麼辦?!CV man表示,既然那麼痛,就做進去吧!!!!
之前常常講到在2020 ESC NSTEMI guideline中提到,若被歸類在NSTE-ACS中(NSTEMI+UA),有very high risk feature需要立刻在<2 hr內做到心導管。
我們再來複習一下,請看Fig.5的左下角Very High risk。
其中有一項是Recurrent/refractory chest pain

Dr.Smith多次在其ECG blog提到,不只美國,全世界真正按照這個Guideline在Very high risk病患,去立刻執行心導管(< 2hr)的並不多,意思就是常常違背這Guideline。
就我們自己在急診的經驗也是如此,明明病患持續胸痛,但是因為ECG沒有出現STE,就繼續追蹤心臟酵素(持續胸痛,不需要有任何ECG變化,這就符合心導管適應症)。也有遇過病患胸痛合併心因性休克,但是ICU給了升壓劑,繼續觀察,沒有去做心導管(冠心症合併心因性休克就是心導管適應症)。
再次說明,每個CV man對於心中符合心導管的適應症,不盡相同。當我認為應該要做,CV也覺得要做,我是衷心替病患開心。
心導管報告: LAD total occlusion s/p emergent PCI,Dx with NSTEMI
此外這個病患因為有subtle STE over precordial leads,所以我們可以應用Smith 4 variable formula來看看是否有可能LAD occlusion。

Smith 4 variable formula:公式連結在這裡
QRSV2: 11.5
- 抓V2的QRS amplitude
STEV360: 3.5
- 這個數值指的是V3 J point往後60 ms →也就是1.5小格後和baseline的高度
RAV4: 2
- 這個數值指的是V4的R wave amplitude
QTc:444 ms
- 直接把12 lead ECG電腦算的QTc帶入公式就可

把數字帶入網頁公式去算,算出來數字為24.5
這個公式算出來的數字只要>18.2就會顯示likely anterior STEMI
- 83.3% sensitivity、87.7% specificity、and 85.9% diagnostic accuracy
算這個會不會很難 →其實不會,只要知道每個數值是在算哪裡,大概1分鐘內,就可以把V2、V3、V4要的值算出來。
Learning points:
- 判讀Ischemia,可以根據QRSTU來判讀
- 運用Fig.2的右側圖,可以迅速知道肢體artifact的問題在哪兒
- Subtle LAD occlusion有時符合STEMI criteria,但卻不被認為有問題(這是真實現實狀況,不是特例)
- 當到院時ECG沒辦法說服CV man去執行心導管,該怎麼辦?我們還有echo、還可以做serial ECG,此外病患是否符合2020 ESC NSTEMI guideline的Very high risk狀況(需<2 hr做導管)→這些都可以輔助給我們更多MI的證據與做導管的後盾支持
- 要如何在Subtle precordial leads STE來看是否有可能LAD occlusion →可以應用Smith 4 variable formula
