VPC也可以小兵立大功嗎?
我們來看看為何VPC也可以小兵立大功
VPC是由心室產生的。VPC就像LBBB一樣具有discordant ST segments,所以當excessive discordant STE或concordant STE時,就要小心。雖然沒有證據顯示MSC可以適用VPC就像LBBB一樣。但是根據Stephen Smith的經驗,這rule用在VPC和用在LBBB非常類似,雖然specific少一點1。
讓我們來複習一下。Modified Sgarbossa criteria(MSC)可以應用在LBBB/PPM的病患。Criteria如下:
- Concordant STE(> 1 mm) in any lead(任何一個lead)
- Concordant STD(> 1 mm) in V1
V3(只要一個lead) →如果是PPM,則extend V1V6都適用 - Excessive discordant in any lead(STE/S >0.25 or STD/R >0.3)
這邊要注意一點就是,不要再用Sgarbossa criteria的Criteria C(指Discordant STE >5 mm) →此false-positive的機會高,且不specificity,所以Smith才在2012在AEM出了MSC取代Criteria C,希望修正此問題。
MSC如果抓0.25這個數值,可以讓sensitivity到80%,specificity到99%。如果抓0.3,則可能會讓sensitivity降到64%,反而錯過許多AMI。

來看圖(Fig.1 & 2)比較清楚一點。
V3、PPM看V1V6
有點離題了
以上要講的重點就是,MSC Criteria C很重要,可以協助我們評估是否有OMI。
再來看幾個例子。
圖中可以看到,VPC有明顯hyperacute T wave出現。V2也在VPC有看到Concordant STE。這也是藉由VPC來看出有ischemic change。
根據Stephen Smith的經驗,以往OMI都是透過sinus-conducted beats傳導下來,造成的ST-T wave morphology來診斷。但是近10年來,Smith發現,有不少的個案可以透過VPC的morphology change來做OMI的診斷。
再來看一張
這邊也是透過在V1~V3的VPC有看到Concordant STE,但是sinus node往下傳導的beat沒有明顯STE(或許有Large T wave →可以和之前的ECG比較,較為準確)。
接著再來一個自己的Case:
52歲男性,下午開始胸痛合併冒冷汗(Fig.3)

進一步解析此ECG,可以知道sinus tachycardia,約120 bpm。long lead II可見紅色框框的group beats。撇除這個group beats不看,可以看到STE over V2~V4,偏向concave STE,在lead II、aVF有minimal STD。
52歲男性,在V2V3有2 mm的STE就是STE。此Case在V2約3 mm、V3約2.5 mm。已經算是符合STEMI criteria,可以Call CV man了。更何況在inf.leads有reciprocal STD change(Ant.wall STEMI有3050%的病患不會有)。
如果這樣程度的高,還不讓你心動去Call CV man。那我們來算看看Subtle LAD occlusion的Smith 4 variable formula。

QTc:469
QRSV2:14.5
STEV360:4.5
RAV4:3.5
算出來:26 >18.2 →高度可能是Ant.STEMI
(當然,這個方程式算出來就是和你說,這非常像Ant.wall STEMI →需要高度警覺,但你千萬別就光拿這數字去和CV說,你看算出來是STEMI,要趕快做導管。沒有人會理你的啊!!!!)
Ps:使用此Smith 4 variable formula,有排除條款。其中之一就是沒有reciprocal STD change。其實這方程式在這不能用。Why?因為有reciprocal change代表是明顯MI了。所以不用使用,就可以說是MI了啊!

假設STEMI criteria無法讓你去Call CV man,而且Smith 4 variable formula你也不會使用。那麼我們來看看這個group beats發生什麼事了。
Group beats的第一跳看起來是有P wave(往V1V2對過去),偏向RBBB pattern,第二跳看起來有寬,沒有明顯P wave,可能是VPC beat,且V2V3有明顯concordant STE,代表因為有ischemia,才會產生的concordant STE。這也是OMI的證據。
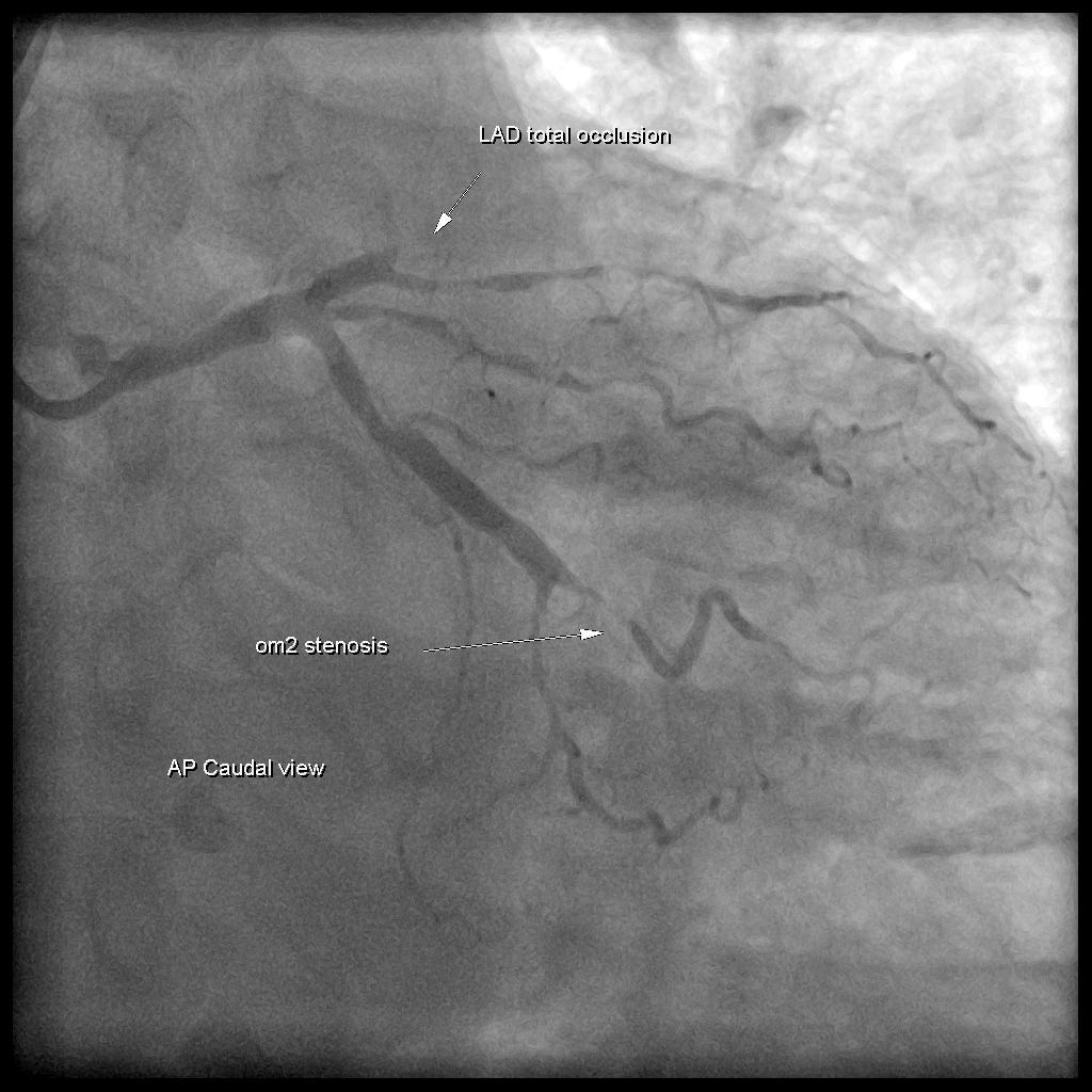
病患作了PCI顯示LAD total occlusion。
在這篇Smith ECG文章中表示2:
- 在LBBB、PPM,或是LBBB like QRS complexes(如VPC)(目前尚未studies)都應該使用MSC去看是否有ACS(目前只有LBBB/PPM有Validation study)
- Appropriate discordance的原則能夠用在所有wide QRS complexes →當有wide QRS complexes出現,有懷疑有ACS,看看是否有excessive discordant現象出現(也就是符合MSC criteria C)
接著我們再來看一個,可以透過VPC來預知可能會有fatal arrhythmia的產生。
樓上的ECG可以見到bigeminy pattern ECG pattern。但是要注意到,可以看看VPC beat的QT interval大約560 ms

Fig.5為QT interval nomogram3,在H.R<60以下,只要QT interval > 485 ms,就有TdP的風險,H.R>60,隨著H.R上升,發生TdP risk的QT interval也隨之下降。換句話說就是,在線以上,就要小心發生TdP。
所以QT interval為560 ms著實,很可能接下來會發生TdP。所以趕緊看看是否有Hypo-K、Hypo-Mg。是否有使用增加QT的藥物。病患趕緊On個monitor,擺在自己的眼前,不要等到護理師衝過來和你說,留觀區第幾床看起來怪怪的(已經產生fatal arrhythmia了)。
總結一下這一篇Blog的重點:
- VPC如果有concordant STE or excessive discordant STE(STE/S>0.25) or Hyperacute T wave可以協助OMI的診斷
- VPC如果合併QT prolong,趕緊矯正原因,避免後續致命性心律不整的產生
Dr. Smith’s ECG Blog: Hyperacute T-waves and Concordant ST Elevation seen in PVCs only — link ↩︎ ↩︎
Dr. Smith’s ECG Blog: An elderly man who dies 12 hours later — could he have been saved? — link ↩︎ ↩︎
Chan, A., Isbister, G. K., Kirkpatrick, C. M. J., & Dufful, S. B. (2007). Drug-induced QT prolongation and torsades de pointes: evaluation of a QT nomogram. __QJM: Monthly Journal of the Association of Physicians__, __100__(10), 609–615. https://doi.org/10.1093/qjmed/hcm072 ↩︎ ↩︎



