64歲男性,上腹痛、胸痛、上背痛

這個Case,非常有印象主要是這病患的臨床表現。
64歲男性過去有糖尿病、高血脂,且因為CAD放過三根支架。但這幾年沒在追蹤了。
病患早上就開始不舒服了。一開始先痛上腹部之後痛到胸部與上背部和下巴。
痛到冒冷汗……噁心,想吐。
我們先來判讀到院時候的ECG(Fig.1),看看我們能看出什麼端倪?
Rate →67 bpm
Rhythm →SR
Axis →Normal axis
Interval →No QT prolong(QTc:435 ms)
Ischemia:PRWP
Baseline不是很穩,不過可以看到也有low voltage(Sensitive criteria with I+II+III < 15 mm)。
先來幾個問題問問自己:
Q1:這個Case可以使用Smith 4 variable formula嗎?
Q2:這個Case可以使用T/QRS >0.36這個rule嗎?
Q3:如果我們initial ECG屬於non-diagnostic ECG,接下來該怎麼辦?
先來回答第一個問題,出現PRWP,有沒有可能LAD的問題呢?這個Case在V2、V3都有出現STE 1格的狀況(Fig.2),是否有可能subtle STEMI due to LAD occlusion呢?

首先在2018年第四版心肌梗塞通用定義1就已經清楚定義,要診斷STEMI,在V2/V3的定義和其他lead是不一樣的:
- 男性,<40 y/o要2.5 mm高
- 男性,>40 y/o要2 mm高
- 女性,不管年齡皆要>1.5 mm高
所以這個Case在V2/V3雖然皆有STE 1格,但都不符合STEMI criteria。
接下來是否可以使用Smith 4 variable formula來看看是否有subtle LAD occlusion呢?
要使用此公式,必須要先了解這個公式有哪些排除條件?
首先要知道,若出現明顯AMI,就不能用此來計算,會出現嚴重的false-negative:
5 mm STE →要排除
- Non-concave STE →若是straight、convex upward STE →要排除
- Inferior reciprocal changes →若有reciprocal change →要排除
- 看到TQRSD要排除
- Q waves in any of V2 to V4 →代表可能已經AMI了 →要排除
- Any T wave inversion from V2 to V6 →代表可能AMI,然後reperfusion出現 →要排除
- BBB要排除
- LVH or LV aneurysm要排除,可能會有false-positive出現
千萬要記得,公式不要亂用,可能會有false-negative or false-positive出現。要用之前先將明顯AMI,與文章內排除的人都先排除,再使用。

這個Case雖然V1-V4都不是QS wave,但是V1是rS wave(<1 mm的r wave),真要使用公式的話,應該要用LV aneurysm with STE vs. STEMI的T/QRS這個。
那麼符合LV aneurysm with STE的病患,到底能不能使用Smith 4 variable formula呢?
在這篇REBEL EM Blog的文章中有寫到2:
One HUGE CAVEAT, is that this equation should not be used in patients with LVH or LV aneurysms as this can cause false positives.
翻譯成白話文也就是說,Smith 4 variable formula不應該用在ECG有LVH morphology或LV aneurysm with STE pattern,可能會導致false positive。
如果我們還是硬是用這個公式去計算的話,算出來為21.5 →Likely anterior STEMI(但有可能是false-positive)
接著來回答,是否可以使用T/QRS >0.36這個rule呢?
要使用這個rule,首先要知道怎樣的情況可以使用。當如果我們要辨別LV aneurysm with STE vs. STEMI時,這時候就可以應用此rule。
此rule是當V1-V4至少有一個lead出現QS wave(指沒有任何R wave,或此r wave < 1 mm),就可以使用。
規則應用:
- 在任何V1-V4有任何一個lead的T/QRS ratio >0.36,那麼acute STEMI是比較有可能的診斷,雖然subacute STEMI也是有可能
應用到此Case(Fig.1),可以發現,沒有一個lead的T/QRS ratio >0.36。
但是……也就是這個但是
這個方程式如果用在胸痛超過6小時以上,可以會有false-negative的狀況出現。也就是有AMI,但是阻塞的時間久了點,所以T wave沒有那麼高了,所以用T/QRS ratio來看,分子變小,那麼要達到>0.36的機會就會變小。
所以超過6小時的胸痛,如果應用此rule,如果沒有>0.36,也有可能是false-negative喔~~~
接著來回答第三個問題。如果initial ECG對我們來說是non-diagnostic ECG。我們還能做什麼?
做Echo?
等TnI?
繼續F/U ECG?
目前有什麼指引告訴我們該怎麼做?算Heart score有幫助嗎?
先來看看ACLS 2020裡面的ACS流程圖

在ACLS 2020針對ACS流程,做了12 lead ECG後,要分兩大類:
第一大類是STEMI/Newly onset LBBB
第二大類是NSTE-ACS(UA+NSTEMI目前稱為NSTE-ACS)
首先我們必須要知道一項事實。
newly onset LBBB ≠ STEMI
在過去年代newly or presumably newly LBBB有合併AMI症狀,過去被認為是class I indication for reperfusion therapy。但是在2013 ACC/AHA STEMI Guideline已經移除了這項3。
此篇相關內文在這:
New or presumably new LBBB has been considered a STEMI equivalent. Most cases of LBBB at time of presentation, however, are “not known to be old” because of prior electrocardiogram (ECG) is not available for comparison. New or presumably new LBBB at presentation occurs infrequently, may interfere with ST-elevation analysis, and should not be considered diagnostic of acute myocardial infarction (MI) in isolation
意思是大部份到院的病患,很多都沒有舊的心電圖可供比較。新的/推測新的LBBB發生率不高,不應該單獨被用來診斷AMI。
另外在另一篇文章裡面提到4,事實上,病患到急診若主述ACS症狀,這些病患如果是有新的LBBB、舊的LBBB或者沒有LBBB其發生AMI的機率沒有太大差別,分別為7.3%、5.2%、6.1%。
那麼把看到LBBB就抓去做導管,false-positive的機率多高?
大概就是恨天高吧XD
講遠了…….
在Fig.3如果判斷為NSTE-ACS,必須再分為高風險NSTE-ACS與低/中風險N STE-ACS
高風險NSTE-ACS的ECG呈現如下(Fig.3-步驟10):
- STD > 0.5 mm
- 當疼痛不舒服時產生Dynamic STTC/TWI(出現reperfusion rhythm)
- transient STEMI(<20 mins,STE >0.5 mm)
低/中風險NSTE-ACS的ECG呈現如下(Fig.3-步驟12):
- ST deviation < 0.5 mm
- TWI < 2 mm
- Normal ECG
分成這兩類,和之後處置與治療的方向有關連。
當ECG呈現高風險NSTE-ACS,且Troponin(+)或具有high risk feature →考慮儘早給予侵入性治療(儘早作導管的意思)(Fig.3的步驟11)
當ECG呈現低/中風險NSTE-ACS,則考慮收治Chest pain unit(CPU)。
來~~來~~來
A區留觀床躺著,就是CPU了啦(我想大部份的醫院,都沒有特定的胸痛留觀區)。以前還在住院醫師訓練時,在娘家北榮還有胸痛診。幾乎所有的胸痛,都是你看,只是不曉得現在還有沒有。
那麼在Fig.3的步驟13,也就是進入CPU了,需要作哪些事呢?
在ACLS 2020的內文裡面寫要做下列事情:
- Serial ECG
- 持續追蹤心肌損傷生化指標 (Troponin、CK-MB)
- 安排進行進階非侵襲性心臟影像檢查:
- 胸前心臟超音波 (2D Transthoracic Heart Echography )
- 心肌灌注核子造影掃描 (Myocardial Perfusion Scintigrapby:MPS)
- 電腦斷層掃描冠狀動脈血管攝影 ( Coronary CT Angiography)
- 心臟核磁共振掃描攝影 (Cardiae Magnetic Resonance)
進階非侵襲性心臟影像檢查的2、3、4實在非常不適合在急診,至少在台灣的大多數急診。
所以可歸納可利用serial F/U ECG + enzyme + POCUS是在initial ECG為non-diagnostic ECG,我們可以多做的事情。
那麼在去年出版的2022美國心臟學院急診急性胸痛處理的專家共識8,裡面是怎麼講的呢(Fig.4)?

在症狀懷疑有ACS的狀況下,先做一張ECG。之後分成四條路:(Fig.5)

橘色:看到STEMI or STEMI equivalent(見Fig.6 上半部) →處置方法見2013 ACC/AHA STEMI guideline**(熊:ESC有2017 STEMI guideline)**
黃色1:看到ECG可能有缺血變化(見Fig.6 下半部) →處置方法見2014 ACC/AHA NSTEMI-ACS guideline**(熊:ESC有2020 STEMI guideline)**
**黃色2:**如果不是橘色或黃色1的ECG變化,但是仍懷疑缺血變化 →會診CV man、Serial F/U ECG(15–20分鐘)、Heart POCUS
**綠色:**若是non-diagnostic ECG →進入CDP(clinical decision pathway)

那麼被認定non-diagnostic ECG,有哪些路可以走路呢?(Fig.7)

此時要應用hs-cTn-based CDPs來做風險區分:
**Low risk(低風險):**可排除
**Intermediate risk(中度風險):**觀察
**High risk(高度風險):**異常 →根據2018 UDMI區分type 1/2 MI、acute/chronic myocardial injury →按照2014 ACC/AHA NSTEMI-ACS guideline處置
那麼hs-cTn-based CDPs有哪些呢?(Fig.8)

文章8建議使用ESC 0/1 h、ESC 0/2 h、與High-STEACS,這三者比使用ESC 0/3 h更有效(更多病患被rule out)與更安全(更少病患被miss掉)。


如何應用ESC 0/1 h、ESC 0/2 h呢?(Fig.9+Fig.10一起看)
Fig.9流程圖是從ESC 2020 NSTEMI guideline來的,這流程圖是合併0-hour rule out →意思是,如果『ACS症狀≧3小時』,在0 h的hs-cTn如果是Very low(參考Fig.10的第一行數值),那麼可以rule out MI(Low risk)。
- 0-hour rule out不適合症狀< 3 hrs的病患,千萬切記!!!!
- 記得問看看自己實驗室驗hs-cTn是用哪個廠牌(Fig.10)
若不到3小時,0 h的hs-cTn為low,『且』和1 h的hs-cTn其∆值(No 1h∆ →見Fig.10第三行數值) ,符合此條件也可以rule out MI(Low risk)。
如果0 h的hs-cTn符合為High 『或』 1h∆ ,rule in MI(High risk)。
如果0 h的hs-cTn既不符合rule in MI也不符合rule out MI,那麼就屬於Intermediate risk,需要觀察。

Fig.11是另一個推薦的CDP,有興趣參考上圖。
除了Troponin測量外,還有哪些ACS病患需作風險分類?
在這篇文章中8描述有三類病患需要更進一步作風險分類:
- 病患由傳統cTn所排除(rule out MI)
- 病患由hs-cTn-based CDP歸類在rule out MI(也就是low risk族群)
- 病患由hs-cTn-based CDP歸類在intermediate risk族群
不少醫院仍使用conventional cTn(這不是hs-cTn喔)或使用了hs-cTn但是因為低於99th percentile of URL,就不顯示數值 →因為sensitivity與NPV都不夠好到足以單獨排除MI,所以建議使用風險評估分數。常用的有Heart score、EDACS risk score。
Heart score主要設計是用於undifferentiated chest pain、low risk來做風險分類。但是已經診斷MI的人,不適用。
EDACS risk score也是常用於low risk病患,進一步評估其MACE(major adverse cardiac event)(Fig.12)。
為何這些病患,要多做risk score rules?主要是因為,這類病患仍有一定比例因為產生false-negative而被疏漏。所以配合這些score rules可以降低被誤判的機率。(有興趣請參考這篇文章8的p.17-p20)。
好~~~又講遠了,拉回來這個Case
所以這個Case的initial ECG屬於non-diagnostic ECG或者是可能因為胸痛超過6小時,所以利用T/QRS ratio >0.36這個rule,已經出現false-negative現象。

一小時候的ECG(症狀加重),此時可以發現仍適用T/QRS ratio >0.36這個rule。在V2的T wave變大,如果應用此rule,發現V2的T/QRS ratio已經超過0.36,favor OMI(Occlusion MI)。而且在inf.leads已經出現reciprocal STD changes與minimal STE over aVL。這種ECG pattern非常有可能是proximal LAD阻塞導致。
病患的症狀是斷斷續續的,痛起來會像大猩猩一樣猛搥自己的胸口。
中間會診過CV man,急診會診條件為recurrent chest pain。
還記得講到爛的ESC 2020 NSTEMI guideline裡面very high risk P’t的feature有哪些嗎?(見Fig.15左下角)
只要符合Very high risk的feature,都需要立刻會診CV man。至於『能不能』、『需不需要』立刻做到心導管並不是我們能夠掌控的,急診能夠控制的就是儘量提供CV man所需要的資訊。包含病患現在穩不穩定、是否可能有cardiogenic shock、是否在急診有跳VT/Vf、是否有Acute pul.edema的狀況出現,是否出現AMI後的mechanical complications。當我們提供越多病患現場資訊,CV man才能夠判斷是否需要立即啟動心導管。
會診完CV man後,CV man希望繼續觀察與等待biomarker。

到院後2.5 hr,ECG出現RBBB+LAFB,在V2的J point有STE。
在RBBB morphology如果是qR pattern or rsR’ pattern,右邊R’ > 左邊r,通常會有STD with TWI or isoelectric baseline出現(Fig.17)。Amal mattu在其ECG weekly教學中多次強調,RBBB任何lead只要出現STE,就必須考慮OMI。這是RBBB的ST opposition rule →也就是在RBBB,ST segment的方向不應該和QRS最後一部分同方向。舉個例子,我們可以看看Fig.18,這病患胸痛,我們看到出現PVC,而PVC是RBBB pattern,在V2/V3、都看到了STE,而此QRS最後一部分也是向上,而這違反了ST opposition rule,必須考慮有缺血變化產生了primary STTC。
RBBB合併STD in V1~V3(特別是有rSR’),其正常STD頂多Up to 1 mm(再次注意,只有在有R’-wave時適用),只有當R’-wave非常大,比如RVH,才有可能出現 > 1 mm。如果超過1 mm,代表有ST vector力量往下拉,造成excessive discordant STD,最常見是Post.OMI9。

那麼出現RBBB+LAFB到底具有什麼意義呢?
首先這種pattern(指RBBB+LAFB)至少可以診斷LAD occlusion(因為LAD supply anterolateral walls、RBB、LAF)
Dr.Smith ECG’s Blog,在這篇10文章中有提到RBBB+LAFB(其實很多篇都有提到)。Blog裡面有提到一篇文獻11,文獻中有描述到,在一些很嚴重的LAD occlusion或LM occlusion,是以RBBB+LAFB呈現出來 →這些個案有最高風險的Vf、cardiogenic shock和最高的in-hospital mortality(AMI for new RBBB alone有18.8%)。
- Smith多次強調此ECG pattern是死亡率最高的OMI
然而通常塞在LAD是較常見的狀況,如果阻塞在LM非常少,主要原因是阻塞在LM,病患很少有活著機會做到ECG和angiogram。
另外RBBB+LAFB的STE,很常會看到downsloping STE,這幾乎已經是routine而不是例外(見Fig.19範例)。

Fig.19垂直線是穿過J point,V2/V3都是明顯的STE,且是downsloping STE(見箭頭)。
RBBB+LAFB不容易判斷出有STEMI。
所以Dr.Smith在這篇文章12中有寫道一段 →當別人無法相信我們的說法時,要如何去說服別人呢?(我認為有STEMI,但你認為沒有)
原文如下:
『Stephen Smith:just use powers of persuasion. One is this: “the art of diplomacy is letting other people have your way” In other words, make them think it is their idea. Or make a plea for help: “I need your help on this.” People respond to being needed. If that fails, you say: “I am writing that I strongly believe this patient needs an emergent angiogram, right now. If you don’t do it, and you’re wrong, you will look very bad”』
我大致翻譯重要意思:
『讓別人(CV man)認為,這是他們的想法,另外如果說我(ER Dr.)需要你(CV man)的幫助。通常人們對於被需要,會有想幫助的心態。』
舉個例子:
我覺得ECG的這裡可能有問題,你看J point在這,ST已經升高。似乎有STEMI。我需要你協助幫我看看。(讓我們的想法 →變成他們的想法,才有機會往下走下去)
這是說話的技巧,與其斬釘截鐵說這是STEMI,倒不如說出自己認為懷疑OMI的地方,讓CV man被需求滿足到,他們也會比較願意把焦點放在你認為可能是有問題的地方。
我在教醫學生ECG時,常常會講到ECG判讀和POCUS一樣,都是operator dependent。一張ECG出現,有些人可以看出ischemic change,但有些人就是怎麼也看不到。這取決於practice的程度。只有不斷的看大師們的ECG blog、與練習看ECG,才能夠提昇對於OMI ECG findings的準確度。
再次拉回案例~~~
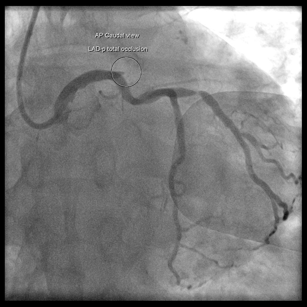
病患出現newly onset RBBB與之後反覆胸痛。CV man還是沒有要做緊急心導管。直到3.5小時後ECG從RBBB又變回類似1小時後的ECG + 持續症狀 + TnI上升(第二次),才進去導管室。

心導管報告:LAD-p total occlusion、RCA-p CTO
另外最後再講到,有哪些的ECG findings支持acute proximal LAD occlusion呢?(請參考這篇文章13)
- STE開始於V1➡如果是mid or distal LAD occlusion,通常precordial STE典型會起於V2 or V3
- 在任何的inf.leads有很明顯的STD reciprocal change➡如果是mid or distal LAD occlusion不太可能會出現inf.leads的reciprocal STD change
- 如果有STE in aVL➡這不太會出現在mid or distal LAD occlusion(此外STE in Lead I也有可能是Proximal LAD,但是STE in aVL是比較可靠的indicator for suspecting proximal LAD有occlusion)
- 當有新的正在發生的Ant.wall STEMI,伴隨出現新的RBBB+LAFB or ICRBBB+LAFB,這通常和acute Proximal LAD occlusion有關係(就像本案例一樣)
另外要記得不是出現RBBB+LAFB就一定是LAD occlusion,而是需要臨床症狀 + newly onset 此ECG pattern,就必須高度考慮。
重點摘要:
- Smith 4 variable formula要使用,需要先排除哪些ECG morphology?
- T/QRS ratio > 0.36比較favor STEMI是用在哪種狀況?
- 對於initial ECG屬於non-diagnostic ECG,我們該怎麼辦?(ACLS 2020與2022急診急性胸痛處置分別怎麼說?)
- ESC 2020 NSTEMI guideline的Very high risk feature有哪些?
- RBBB有任何STE or excessive discordant in V1–3都可能有OMI
- 出現RBBB+LAFB的重點 →可能是proximal LAD occlusion、此pattern是死亡率最高的OMI
- 哪些的ECG findings支持acute proximal LAD occlusion呢?
參考資料補充:1 2 3 4 5 6 7 8 10 11 12 9 13
Thygesen, K., Alpert, J. S., Jaffe, A. S., Chaitman, B. R., Bax, J. J., Morrow, D. A., & White, H. D. (2018). Fourth Universal Definition of Myocardial Infarction (2018). Journal of the American College of Cardiology, 72(18), 2231–2264. https://doi.org/10.1016/j.jacc.2018.08.1038 ↩︎ ↩︎
Chest Pain, “Negative” Stress Tests, POCUS, & ECG Equations — REBEL EM — Emergency Medicine Blog — link ↩︎ ↩︎
O’Gara, P. T., Kushner, F. G., Ascheim, D. D., Casey, D. E., Chung, M. K., de Lemos, J. A., Ettinger, S. M., Fang, J. C., Fesmire, F. M., Franklin, B. A., Granger, C. B., Krumholz, H. M., Linderbaum, J. A., Morrow, D. A., Newby, L. K., Ornato, J. P., Ou, N., Radford, M. J., Tamis-Holland, J. E., … Zhao, D. X. (2013). 2013 ACCF/AHA Guideline for the Management of ST-Elevation Myocardial Infarction. Journal of the American College of Cardiology, 61(4), e78–e140. https://doi.org/10.1016/j.jacc.2012.11.019 ↩︎ ↩︎
Khawaja, M., Thakker, J., Kherallah, R., Ye, Y., Smith, S. W., & Birnbaum, Y. (2021). Diagnosis of Occlusion Myocardial Infarction in Patients with Left Bundle Branch Block and Paced Rhythms. Current Cardiology Reports, 23(12), 187. https://doi.org/10.1007/s11886-021-01613-0 ↩︎ ↩︎
Larson, D. M., Menssen, K. M., Sharkey, S. W., Duval, S., Schwartz, R. S., Harris, J., Meland, J. T., Unger, B. T., & Henry, T. D. (2007). “False-positive” cardiac catheterization laboratory activation among patients with suspected ST-segment elevation myocardial infarction. JAMA, 298(23), 2754–2760. https://doi.org/10.1001/jama.298.23.2754 ↩︎ ↩︎
Chang, A. M., Shofer, F. S., Tabas, J. A., Magid, D. J., McCusker, C. M., & Hollander, J. E. (2009). Lack of association between left bundle-branch block and acute myocardial infarction in symptomatic ED patients. The American Journal of Emergency Medicine, 27(8), 916–921. https://doi.org/10.1016/j.ajem.2008.07.007 ↩︎ ↩︎
Jain, S., Ting, H. T., Bell, M., Bjerke, C. M., Lennon, R. J., Gersh, B. J., Rihal, C. S., & Prasad, A. (2011). Utility of left bundle branch block as a diagnostic criterion for acute myocardial infarction. __The American Journal of Cardiology, 107(8), 1111–1116. https://doi.org/10.1016/j.amjcard.2010.12.007 ↩︎ ↩︎
Kontos, M. C., de Lemos, J. A., Deitelzweig, S. B., Diercks, D. B., Gore, M. O., Hess, E. P., McCarthy, C. P., McCord, J. K., Musey, P. I., Villines, T. C., & Wright, L. J. (2022). 2022 ACC Expert Consensus Decision Pathway on the Evaluation and Disposition of Acute Chest Pain in the Emergency Department. Journal of the American College of Cardiology, S0735109722066189. https://doi.org/10.1016/j.jacc.2022.08.750 ↩︎ ↩︎ ↩︎ ↩︎ ↩︎
Dr. Smith’s ECG Blog: Right Bundle Branch Block and ST Depression in V1-V3. Is that normal? And a complication. — link ↩︎ ↩︎
Dr. Smith’s ECG Blog: Cardiac Arrest at the airport, with an easy but important ECG for everyone to recognize — link ↩︎ ↩︎
Widimsky, P., Rohac, F., Stasek, J., Kala, P., Rokyta, R., Kuzmanov, B., Jakl, M., Poloczek, M., Kanovsky, J., Bernat, I., Hlinomaz, O., Belohlavek, J., Kral, A., Mrazek, V., Grigorov, V., Djambazov, S., Petr, R., Knot, J., Bilkova, D., … Lorencova, A. (2012). Primary angioplasty in acute myocardial infarction with right bundle branch block: should new onset right bundle branch block be added to future guidelines as an indication for reperfusion therapy? European Heart Journal, 33(1), 86–95. https://doi.org/10.1093/eurheartj/ehr291 ↩︎ ↩︎
Dr. Smith’s ECG Blog: What is the Diagnosis in this 70-something with Chest Pain? — link ↩︎ ↩︎
Dr. Smith’s ECG Blog: CO poisoning. Routine ECG recorded before hyperbaric therapy….Are they related? — link ↩︎ ↩︎


