這是STEMI,你相信嗎?

來看看昨天夜班上班的一位個案。50歲男性,本來從事捕鰻苗的工作。
用生命換一晚賺20萬?花蓮「大港口」暗夜燈火捕鰻苗 | ETtoday旅遊雲 | ETtoday新聞雲
看了一些報導,原來捕鰻苗危險性那麼大。本來以爲就是比較冷而已(泡在海水裡)。
昨天非常冷,冷到透骨的那種冷。昨晚凌晨大半夜只看兩個病人,大家都寧願躲在被窩睡覺,你就可以想像昨天有多冷了。離題了~~~
這位病患在捕鰻苗的時候,突然覺得呼吸喘、胸口悶、雙手發麻。
看到檢傷主述,我真以為是過度換氣發作。那麼冷、下半身泡在海水裡,工作又那麼累,是還蠻符合過度換氣的誘發因子啦XD(我錯了)
病患從檢傷在輪椅上推到診間,因為主述胸口悶、喘。我請護理師先幫我做一張ECG。在做的時候,因為病患呼吸較淺快,雙手發麻。我請病患呼吸放慢、因為可能真的有點過度換氣了。
Tips:通常過度換氣是果,什麼是因需要詳查。腸胃炎、情緒起伏過大、疼痛等等都可能是誘發的因子。我還遇過主動脈剝離引起的過度換氣。當超音波掃到flap在主動脈裡面飄時,我和病患一樣在冒冷汗。(好險沒把病患當Psy發作XD)
Case continue
護理師做完ECG時,我的第一個反應是,這是STEMI。快,動作快~~~~
我在ECG上面立刻寫下了,Post.MI

請專師趕快傳給,值班的CV man。
首先,我們先來判讀一下ECG。
Rate:65
Rhythm:Sinus rhythm(Lead I、II、aVF的P wave為Upright,aVR為Inverted)
Axis:Normal axis
PR稍長、Narrow QRS、No QT prolong
在V1V5有STD,Maximal STD在V3V4、沒有明顯的STE
WTF~~~沒有STE,你竟然說這是STEMI!!!!
對,這是後壁的STEMI,所以12 leads ECG完全看不到有STE。但確確實實是STEMI。
Post.wall MI佔所有STEMI的10~20%左右。而且通常會合併inf.wall MI、Lateral wall MI。
在所有involved Post.wall MI中,有90%會合併inf.wall、lateral wall
只有4~10%為isolated Post.wall MI。
舉個例子,來解說上面這幾句話,會讓大家更了解。
當臨床上病患有胸痛、盜汗,做了如Fig.1的ECG。這樣的ECG,我們絕對不會miss掉。Inf.leads高到像山一樣高的STE,肯定會讓我們有衝動去會診CV man。但是如果這個病患limb leads(Fig.1左側)完全沒有STE,只有precordial leads有如Fig.1的變化。你能第一時間,也說這病患有MI嗎?
我想應該有超過一半以上的人,寧願選擇等待biomarker報告,如果有高,在會診CV man。
診斷Post.wall MI的難處在於,我們都被STEMI criteria給箝制住了。要看到STE,才能會診CV man。不是STE,那麼就可能是NSTEMI?這也是Post.wall MI最容易被誤診的地方。
Post.wall MI只有30%的病患能夠達到D2B<90分鐘,原因就在於,因為沒有看到STE,只出現STD,所以我們把它當成NSTEMI,而延誤了做PCI的時間。
所以當出現isolated Post.wall MI,就更容易讓人誤診了,因為沒有合併inf.wall、lateral wall MI。這些leads沒有看到STE,讓我們更加容易輕忽急症存在。
Tips:我們很容易將Post.wall MI誤診為NSTEMI,主要是我們被STEMI criteria的觀念給綁住了
Case continue
ECG傳給CV man看過後,CV man請我們做一張Post.leads。
有在看Smith ECG Blog的ECG同好,應該知道, Dr.Smith其實不推崇做Post.leads來診斷Post.wall MI。
讓我來和各位讀者解釋一番,就知道為何不推崇做Post.leads,因為這延遲了做PCI的時間。
來看Fig.2,先來看Precordial leads在身體上相對應心臟的相對位置在哪兒?這些Precordial leads幾乎是貼著心臟表面。但是Post.leads呢?Post.leads指的是做V7V9,也就是把V4V6改成V7~V9,貼在後背。
在Fig.2可以看到如果心臟impluse沿著axis傳導,如果要傳到V7~V9,就會遇到大片的肺部組織。我們學習ECG時,也知道如果遇到low voltage,我們也會把COPD,肺部擴張的狀況列入鑑別診斷。因為空氣把導極與心臟分隔開來。因此會造成QRS complex amplitude變小。當QRS voltage變小,伴隨的ST segment deviation與T wave也會同等變小。
翻成白話一點就是,如果有Post.wall MI,大部分都可以看到Post.lead STE。但是,也就是這個但是,Post.leads的voltage通常不大,因此STE會不明顯。
因此有可能會誤判為沒有STE,但其實用比例原則來看QRS與STE的比例,其實真正有ST elevation,只是很不明顯。
所以如果要應用Post.leads來協助診斷Post.wall MI,有一個很重要的觀念是,如果看到有STE,則Post.wall MI的機率很高(Specificity很高),但是如果V7~V9沒有看到STE,不代表沒有Post.wall MI,因為low voltage的關係,導致Post.leads會出現可看得出來的STE,不容易見到(Sensitivity不高)。

那麼可見的STE要多高才算有意義呢?
- 不管男女,V7~V9若有≧0.5 mm(任一lead)的STE就算有意義的高。
- 如果在男性<40歲,且看到V7~V9(任一lead)有>1 mm的STE,則會增加特異度。
Tips:Post.leads沒有看到STE,不代表病患沒有Post.wall MI
那到底怎麼樣才要懷疑Post.wall MI?
在V1~V4有出現最大Maximal STD就要高度懷疑,只要出現STDmaxV1–4就有96%的specificity,也就是不管怎麼樣,一定要想盡辦法排除,不然這個STD就是Post.wall MI。
Tips:STDmaxV1–4(+) →直指Post.wall MI
Case continue

Fig.3是在急診做的Post.leads,我們把V9拉大來看(Fig.4)

可以看到V9至少有0.5 mm的STE,可以確定這是Post.wall MI
在這邊有一個很重要的觀念,在最新一期的Smith ECG blog也有提到1。那就是,如果我們要做Post.leads,千萬不要把V1V3的導極,貼到後背形成V7V9。
為何?
Stephen Smith表示做Post.leads時,千萬不要把V1V3改成V7V9。因為coronary thrombus是動態的、可能會spontaneous reperfusion,如果剛好遇到reperfusion時做post.leads,這時當然在V7V9就不會看到STE,所以V1V3要留著對照使用。
Tips:做Post.leads不要把V1
V3貼成V7V9
當時我用了自己Lumify做了Echo,大家會希望在哪個地方看出什麼問題呢?



根據17 segment的區分法,把LV分成17個區塊。Post.leads的位置在Basal-inferior area(Segment 4)。


首先我們來看Fig.5右側,可以清楚看到17 segment的分區位置。
所以我們在ECG看到懷疑是Post.wall MI,當然我們超音波的目光就要放到Post.wall的附近(Segment 4、5、10、11都要看),是否有明顯RWMA。如果有,那麼超音波的發現就和ECG的發現完全吻合,就更可證明這確實就是Post.wall MI。
看Fig.5左側,可以知道A4C其實不容易看到Post.wall。A2C與PSAX可以看到。
- A2C是看anterior、inferior可以看到Segment 4
- PLAX可以看到Segment 5
- PSAX是看縱切面,可以看到Segment 4、5、10、11
PSAX是最佳可以看到Post.wall與其附近RWMA的最好view。
回頭看看上面的POCUS Clip(PSAX view),把一根手指頭放在LV中間,有沒有發現Segment 4、5附近是不是不太動。
賓果!!!!
POCUS finding is compatible with ECG finding.
Tips:如果懷疑Post.wall MI →PSAX view就最好eyeballing觀看的view
Case continue
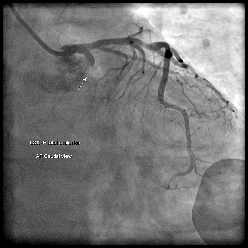
當然病患在種種急診提供的Post.wall MI證據下,啟動了緊急心導管。
看到Isolated Post.wall MI➡比較常見是LCx occlusion而不是RCA occlusion➡通常這些case(isolated Post.wall MI)的PL branch無法提供足夠的血液避免缺血(如果可以提供足夠血液,那麼就不會出現isolated Post.wall MI了)。
CAG finding:LCx-P total occlsuion
Learning Points:
- 通常過度換氣是果,什麼是因需要詳查。腸胃炎、情緒起伏過大、疼痛等等都可能是誘發的因子。我還遇過主動脈剝離引起的過度換氣。當超音波掃到flap在主動脈裡面飄時,我和病患一樣在冒冷汗。(好險沒把病患當Psy發作XD)
- 我們很容易將Post.wall MI誤診為NSTEMI,主要是我們被STEMI criteria的觀念給綁住了
- Post.leads沒有看到STE,不代表病患沒有Post.wall MI,不要浪費時間去做Post.leads了
- STDmaxV1–4(+) →直指Post.wall MI,直到排除為止
- 做Post.leads不要把V1
V3貼成V7V9 - 如果懷疑Post.wall MI →PSAX view就最好eyeballing觀看的view
參考資料補充:1



