59歲男性、胸痛、劇烈背痛
今天我們來看一個很有趣的個案。心電圖有很多可以學習的地方。
59歲男性,大年初一來急診就醫。 這病患和我說胸痛已經痛了3-4天了,偶爾痛到後背。 今晚痛到後背,痛到冒冷汗

Rate: 66 bpm
Rhythm: SR
Axis: noram axis
Interval: QTc ➔444
Ischemia: 沒有看到符合STEMI criteria的leads
但是有幾個leads,看起來怪怪的

V2-V3出現TWI
這讓你想到什麼?
再拆解一下,V2-V3是在R't precordial leads
統整一下,R't precordial leads出現TWI,有哪些狀況會如此?
必須想到的有幾個情況:
- Wellens' syndrome
- Pulmonary embolism
- Juvenile TWI
- RBBB
- Brugada syndrome
- ARVC
- RVH
這是我腦袋瓜會第一時間想到的可能性
當海底撈針似的把所有DDx撈出來,腦中就要迅速排出哪一個最有可能。
會死人翹辮子的往前排,是我習慣排列的方式
Wellens' syndrome
Pulmonary embolism
Brugada syndrome
總是我會想優先排除的三個
想知道更多R't precordial leads TWI相關知識可以看看這邊 1
ACS的Wellens' syndrome和PE要怎麼區分呢? 2

這部分之前有寫過。還是再詳細講一次,一方面自己順便複習一次。
⭐️怎麼樣的V2~V3 ECG morphology偏向RV strain(如果ECG形成RBBB,以下morphology不適用)
- 通常bigger S wave than R wave
- 通常J point isoelectric 或 J point elevated,接著凸向上STE然後TWI➜指PE的TWI和[[Wellens' wave]]的TWI長得不一樣(看Fig.2的ECG morphology)
- PE的TWI是convex STE,然後像雲霄飛車彎向下
- ACS-Wellen的TWI是陡降,比較sharp
- 通常some STD in V4~6和inf.lead也會TWI
⭐️Wellens' syndrome是在一個胸痛之後,無痛狀況下做的ECG(在coronary reperfusion之後,應該會伴隨症狀明顯降低)➜如果看到TWI,但是症狀卻是持續的不舒服,要想想別的DDx
- 看到TWI,先看病患症狀如何?再看prior ECG有無此TWI➜如果症狀已緩解,且舊心電圖沒此變化,先考慮可能是reperfusion rhythm(剛剛心肌梗塞,但是現在通了➜請跟著再唸一遍,出現Wellens' syndrome,最基本的概念就是剛剛心肌梗塞,但是現在通了)
⭐️ACO通常很少伴隨tachycardia,特別是reperfusion之後,除非病患已經cardiogenic shock了(Poor LV function)
- 但是在PE裡面,sinus tachycardia是很常見的狀況
好了,說完了Wellen和PE。那像不像Brugada? 根本不像,直接刪除這一個DDx

❤️Case個案繼續
病患因為前胸痛到後背,痛到冒冷汗。雖然D-dimer正常,我還是切了Chest CTA,沒有aortic dissection
第一次心臟酵素:<0.1(正常)
第二次心臟酵素 : 0.17(亮紅字),超出一點點(我們家>0.16亮紅字)
中間病患含了一顆舌下NTG,其實於急診觀察中,就一直都沒有任何症狀
我交班下去,接班的主治讓病患回家。
其實,我想想,如果病患還在我手上,我應該也會讓病患回家。
沒有prior ECG、且症狀完全緩解,而且又是年初二,病患超級多的時刻。
記得中間去問病患症狀如何時,都說沒症狀,他一直覺得是肌肉拉傷。
這真的很可怕,我們在忙的時候,很容易被病患的話語拉過去。
**好啦,你都沒症狀了,你也說很像肌肉拉傷。那就回家吧。急診室人山人海,就回家吧。**我覺得我當下腦子一定會這樣想XD
可是.....可是,怎麼解釋TnI已經讓紅字了,雖然還是不高。
首先,我們一定要知道一些事實
急診室第一次心臟酵素,沒有異常,這在心肌梗塞的病患很常見。
急診室第一張心電圖,沒看到異常,不代表病患沒有心肌梗塞。(當然有可能是你沒看出來XD,拜託多多來光顧本站,看心電圖,保平安😅)
我們來看看在LITFL說明Wellens' syndrome的基本定義:3

重點如下:
出現deeply TWI or biphasic TWI in V2-3(有可能會V1-V6都extend到)
- 記住: AIVR和出現TWI都有可能是reperfusion rhythm #ECG Tips
這種TWI出現在pain free的狀況(大重點!!!)
沒有出現precordial leads Q wave(大重點!!!)
- 因為出現Q wave,代表已經心肌梗塞一段時間了,就不符合剛剛心肌梗塞,現在通了的定義了
仍具有R wave progression
- 也就是如果出現PRWP(poor RWP),代表可以也出現心肌一小段時間,所以R wave progression才會不見
正常或輕微的biomarker上升
❤️Case個案繼續
所以這個case就ECG morphology和相關biomarker應該是算Wellens' syndrome。
就2018年的第四版心肌梗塞定義(Fourth Universal Definition of Myocardial Infarction 2018)
Type 1 MI的定義就是myocardial injury證據(Biomarker+) + myocardial ischemia證據(症狀/ECG/影像,三者任一)
所以這病人實際上應該是要診斷AMI
就ACS的定義而言,應屬NSTEMI,因為biomarker已經有問題了。
這邊我覺得學到一件事。
當然AMI的病患,每個人的狀況都不一樣。
就是有這種,你仔細去看,他的確就是符合AMI的定義。但是第二次TnI,就是這種要高不高、症狀又已經緩解,病人也說像肌肉疼痛。當下病人又爆炸多。
病人想回家,你放不放?
我下次遇到這種狀況,我會考慮再三。
為何?
讓我們繼續接下來的病人經歷
病患一走出急診室門口,他說他吹到了冷風。胸口又開始痛了起來
於是又返回來急診室

這張,我覺得很有趣的地方,有幾個地方。 第一是幾個小時前的明顯TWI,似乎不見了。 第二是........竟然出現inverted U wave OH~~My God!!!這樣的Case我找了好久,都沒有遇到過XD
一個一個來講這些有趣的地方
TWI不見了,取而代之的是upright T wave,而且是胸痛的時候做的。那麼這就是我們常說的pseudonormalization of T wave
意思是什麼呢?意思就是,TWI代表是reperfusion(剛剛通了),但是現在痛起來,TWI變成upright T wave(現在又阻塞了)
當然有可能症狀持續,這T wave有可能過幾個小時會變HATW(hyperacute T wave)
第二個是inverted U wave
這是什麼?
我們先來看看
大概30分鐘後,病患大痛,痛到後背,痛到冒冷汗
這張的T wave更高、且inverted U wave比再返診時的第一張更明顯

我把Fig.7放大一點來看
要診斷出inverted U wave,首先有一個難關。
那就是你要先區分,這到底是inverted U wave,還是biphasic T wave的後段T wave inversion
很簡單,我們來看看Fig.8,先找一個比較明顯clear cut的QT interval。在Fig.8 aVF的QT interval就非常明顯,畫出來
移到你覺得不知道是inverted U wave還是biphasic T wave inversion的後段地方。
QT inverval指的就是Q開始到T wave的結束。
所以如果你懷疑是biphasic T wave inversion的後段,那麼綠色距離的QT inverval應該要包含紅色虛線的向下凹處。
但是並非如此,紅色虛線向下凹處,並不在QT inverval裡面。
所以紅色虛線那個就是inverted U wave。

正常的U wave和T wave同方向(concordant),而且不明顯。
但是當心跳越慢時,U wave就會更明顯
此外常見於lateral leads、正常的U wave高度大約T wave的10%
另外臨床上還有一個狀況,U wave會很明顯,那就是Hypokalemia時
當嚴重低血鉀時,U wave會很明顯,因此T-U fusion在一起,形成T U wave,而導致會有QT prolong狀況,主要是把明顯的U wave加進來了。
舉個自己的例子

36歲男性,全身無力、嘔吐入急診
綠色是一般我們抓的QT interval,很明顯的超過1/2 RR interval,有QT prolong
這邊的T wave又稱down-up T wave(先下後上),這是典型的低血鉀的ECG morphology
一般我們說的Biphasic TWI是先上後下,沒有在先下後上的喔。這裡一定要知道,不要搞錯了。
Fig.9的紅色箭頭就是因為低血鉀產生的明顯upright U wave

好,那麼inverted U wave代表的臨床意義是什麼?有可能是early sign with myocardial ischemia
先來看看這篇2005的文章 4


裡面寫了這段話➜U wave inversion有可能會在心肌梗塞產生心電圖變化的數小時前出現。
那麼如果我們遇到inverted U wave要如何處理,與進行下一步驟呢?

我請Gemini Pro幫我把我的Roam research我自己寫的筆記裡面關於Inverted U wave稍微整理了一下,用圖表方式呈現。好看多了~~
裡面的(-) U波➜指的是Inverted U wave喔,不是沒產生U wave
簡單來說,Inverted U wave可以像是HATW一樣,更早於STE出現之前就出現。另外會比較偏向LAD lesion
Amal mattu在這集的ECG weekly也有提到inverted U wave,有興趣的人可以前往觀看 5
So cool~~
❤️Case個案繼續

第二次因為走出急診室,剛離開沒多久又痛起來,過了沒多久又開始更痛。 這些點的TnI,其實也就是高一點點。和第一次就醫差不多。
在Fig.7時是第二次回診加上更痛,且ECG的V2/V3的T wave更高。所以會診了CV man
CV man回應,等驗血的報告。
不過驗血的報告如Fig.12為0.16。CV man請我們自行決定讓病患住病房或ICU
精彩的還沒結束~~
大約早上快6點多,病患又大痛了一次。 因為病患當時on了ECG monitor 護理師看到ECG monitor又異常,印下了當時的ECG strips給我看

哇~~
這不是簡單的PVC啊,這是異常缺血的PVC
來解釋一下
我之前在這篇的內容也寫過PVC可以小兵立大功 6 。我把那邊的內容稍微搬過來一下。
VPC是由心室產生的。VPC就像LBBB一樣具有discordant ST segments,所以當excessive discordant STE或concordant STE時,就要小心。雖然沒有證據顯示MSC可以適用VPC就像LBBB一樣。但是根據Stephen Smith的經驗,這rule用在VPC和用在LBBB非常類似,雖然specific少一點 7
讓我們來複習一下。Modified Sgarbossa criteria(MSC)可以應用在LBBB/PPM的病患。Criteria如下:
- Concordant STE(> 1 mm) in any lead(任何一個lead)
- Concordant STD(> 1 mm) in V1-V3(只要一個lead) →如果是PPM,則extend V1-V6都適用
- Excessive discordant in any lead(STE/S >0.25 or STD/R >0.3)
這邊要注意一點就是,不要再用Sgarbossa criteria的Criteria C(指Discordant STE >5 mm) →此false-positive的機會高,且不specificity,所以Smith才在2012在AEM出了MSC取代Criteria C,希望修正此問題。
MSC如果抓0.25這個數值,可以讓sensitivity到80%,specificity到99%。如果抓0.3,則可能會讓sensitivity降到64%,反而錯過許多AMI。

注意喔,雖然Dr.Smith的MSC是用0.25當cut off point,但是看看上面的圖STE/S >0.2就要懷疑AMI了!!!!!!!!!!
❤️Case個案繼續
讓我們來算算這個case的STE/S大概多少? 大約0.7
這是ischemic pattern PVC

本來一開始我是將病患簽一般病房住院,後來看到這個ischemic pattern PVC,直接改床到CV-ICU住院
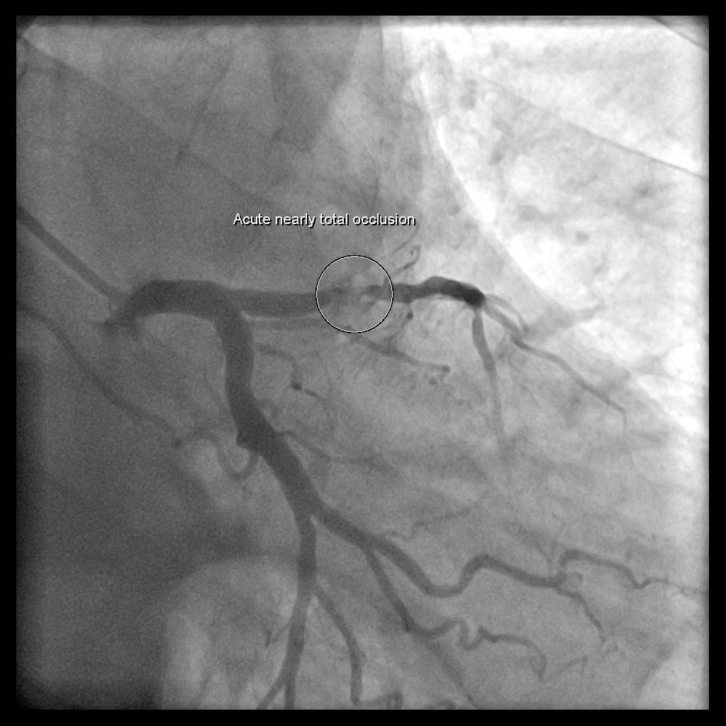
住院上去,當天早上就做了CAG: CAG報告➜ LAD: pLAD critical lesion, plaque rupture with thrombus formation and 95% stenosis, impaired TIMI flow; dLAD discrete lesion with 70% stenosis

這個案讓我學到很多,包括Wellens' syndrome臨床上的意義是在未來幾天到幾個禮拜內有很高風險會出現extension ant.wall MI。在ER有看到了,真的放回去風險真的不小,因為雖然看到Wellens' wave,代表病患已經reperfusion(血管通了)。
但是.......什麼時候再次re-occlusion根本沒人知道。
這case反反覆覆的抽血,biomarker也都固定在那裡,CAG顯示pLAD幾乎要完全阻塞了,TnI經過時間累積,也根本沒啥大變動,心電圖也沒有任何符合STEMI criteria的ECG出現。
再再驗證了ECG大師Ken grauer所說的,病患具有ACS S/S,要無論如何排除ACS。ECG/Biomarker可能都會是正常的。
在ESC 2020 NSTEMI guideline裡面才一直說,refractory chest pain(不管ECG/biomarker),是2個小時內做到CAG的其中一個indication

此外這個Case讓我收集到了inverted U wave和abnormal ischemic pattern PVC的個案ECG~~太開心了🥳🥳🥳
- Wellens' syndrome的定義、re-occlusion的風險
- Pseudonormalization of T wave是什麼?
- Inverted U wave是什麼?臨床意義在哪?如何運用QT interval來協助診斷inverted U wave
- PVC也可以診斷myocardial ischemia嗎?怎樣的PVC要提高警覺
參考資料:
Amal Mattu’s ECG Case of the Week – August 8, 2022 – ECG Weekly - link ↩︎
Dr. Smith's ECG Blog: A crashing patient with an abnormal ECG that you must recognize - link ↩︎
Article: Wellens Syndrome | Life in the Fast Lane • LITFL link ↩︎
Reinig, M. G., Harizi, R., & Spodick, D. H. (2005). Electrocardiographic T- and U-Wave Discordance. Annals of Noninvasive Electrocardiology, 10(1), 41–46. https://doi.org/10/d2xxd2 ↩︎
Amal Mattu’s ECG Case of the Week – January 16, 2023 – ECG Weekly - link ↩︎
Dr. Smith’s ECG Blog: Hyperacute T-waves and Concordant ST Elevation seen in PVCs only — link ↩︎ ↩︎ ↩︎
