心肌梗塞,跳這心律,發生什麼事了?該怎麼辦?
今天我們來透過這個案例。來看看當病患發生心肌梗塞時,出現今天的心律時。該怎麼辦?
86歲女性,被救護車送來醫院。路倒在旁,主述胸痛。

這一張可以清楚看到在inf.leads有STE合併aVL/I的reciprocal STD。配合病患的臨床症狀,高度可能是inf.wall STEMI (Fig.1)。

看到inf.wall STEMI,反射動作就是做R't side ECG (Fig.2)

Fig.1的時間為07:46,Fig.2的時間為08:02中間隔了大約6分鐘。
可以看到做R't side ECG時,inf.leads的STE更明顯,對側面的aVL/I的reciprocal STD也更明顯。(Dynamic STTC+)
❤️第一個問題,為何inf.wall STEMI時,也要看R't side ECG,另外要看哪個leads?

直接切入重點,在inf.wall STEMI,合併去看R't side ECG,就是去看有無RVMI。
心電圖有趣的地方就是,如果心肌受傷時的Current of injury朝著偵測的方向前進。那麼在那個方向的lead,應該會看到STE出現。
所以我們看看,V4R幾乎就是貼著RV,在看RV到底有沒有involved到,也就是看有沒有RVMI (Fig.3右側)。
如果有RVMI的話,治療方面就會有所不一樣。
那麼在標準的12 leads ECG裡面,到底有沒有lead是可以直接看RV的呢?
基本上沒有,但是V1算是接近看的。
這也意味著,我們無法透過12 leads ECG來排除RVMI➜由於V1是最接近RV的lead (Fig.3右側),所以當V1 STE但是其他ant.leads沒出現,又合併chest pain with Inf.wall STEMI➜這種情境就要高度懷疑有RVMI

Fig.4 這張是Uptodate上面老掉牙,但是又很能夠讓人理解的一張圖。
當RVMI時,RV會dilate,水分就會累積在RV裡面。這時候septum就會往左邊壓過去,導致LV打出的cariac output變少。因此容易血壓變低。 處理的方法就是先灌水。先不要使用會降低preload的藥物如NTG。
因為NTG使用會讓靜脈擴張➜靜脈儲血增加➜回心血量⬇︎,這樣到達LV的血流就更少,更容易hypotension出現。
灌水就是強迫讓多一點血回到LV,可以打出去。
那麼R't side ECG中,V3R-V6R,哪個lead用來評估RVMI是最適合的呢?
在R't side ECG中最佳單一lead用來評估RVMI是V4R➜當STE≧1 mm:可以達到100% sensitivity與超過90%的predictive accuracy for RVMI 1
V3R、V5R、V6R的診斷表現普遍都比 V4R差,或只被當成輔助使用。
另外有一件ECG小知識,那就是在ACS S/S的12小時內,有50%的RV involved的R't side ECG,其STE的變化會消失 2 。
❤️第二個問題,在RVMI病患使用NTG就一定會低血壓嗎?
RVMI時,因為RV收縮力差,此時cardiac output非常仰賴足夠的preload。所以在使用降低preload藥物時(morphine、lasix、NTG)就可能有嚴重hypotension出現。這一直是我們既有的概念。 而且長期在ACC/AHA Guideline裡面,明確指出在RVMI病患使用NTG列為contraindication,在inf.wall STEMI病患使用NTG必須小心謹慎,一定要做R't side ECG評估是否有合併RVMI 3 。
有時候,我們拿這樣的病生理來解釋醫學現象,但後來才發生,其實人體比我們想還還複雜許多。這樣的解釋或許太過於簡單了。
早期在1989年有一個小型研究發表,是針對40位inf.wall MI的患者做回溯性觀察研究。研究報告發現,在接受nitrate的治療的這些病患中有接近50%出現了低血壓。而這些出現低血壓的inf.wall MI患者,其心電圖有RV involved。不過這個研究給藥劑量和途徑不一致。這樣的證據力,不高,但被寫進guideline裡面 4 。
另外還有一篇較大型的研究,發表在2016年的Prehospital Emergency Care 5 。裡面將STEMI分成兩組:
- STEMI inferior
- STEMI other territory


第一個是電腦判讀分組,第二個是藉由急診醫師判讀後分組。
不管是哪一個判斷分組,STEMI inferior和STEMI other territory在使用NTG後產生低血壓的情況,都沒有差別。
只有電腦判讀,沒有再一個急診醫師判讀後分組。容易落入是不是電腦判讀錯誤才讓我們看不到差異的假象。因此又多了一個急診醫師判讀後分組。這樣才更可以說明,就算 ECG 判得「比較正確」,inferior STEMI 還是一樣不會比較容易 NTG induced hypotension。
另外在這篇文章中,如果出現STE in III > II與STE in V1當作是有了RV involved的證據(也就是當成有RVMI啦)。
作者也提到具有上述兩者ECG features for RVMI的病患,其使用NTG後,也沒有比較明顯出現hypotension的狀況。
這篇給我們最重要的資訊就是:在血壓穩定、符合給NTG條件的情況下,STEMI inferior並不比其他 STEMI 更容易因NTG掉到 clinically significant hypotension。
至於如果沒有R't side ECG輔佐判斷是否有RVMI,光靠12 leads ECG到底有沒有什麼線索可以知道有RVMI呢?
還是有的 (Fig.7)!!!

↩️Back to case
病患在急診室心律突然改變!!!!!!!

心律突然改變,該怎麼辦?別慌!
叫叫CABD啊~~
阿罵~阿罵,金罵無安娜某?
病患: 謀啊~金罵咖美痛
阿罵,還可以說話,表示沒那麼痛了!
那麼Fig.8➜08:20的ECG發生什麼事了?
要講這是什麼rhythm,首先要知道什麼是ventricular rhythm。也就是心室放電細胞放電,因為不是走正常的conduction system,因此傳導較慢,所以心室放電細胞放電,QRS是寬的。

Fig.9是三種ventricular rhythm。
以前很小很小的時候,在考ACLS時,老師叫我們背下IVR(idioventricular rhythm)長怎樣。其實那時候也就傻傻的背下,這樣形狀的ECG,我們要稱作IVR。根本也不太知道,這代表什麼意義。
當我們沒有看到P wave,且看到這樣規則單形、寬的QRS:
如果rate在20-40 bpm,我們稱作IVR
如果rate在40-120 bpm,我們稱作AIVR
如果rate在>120 bpm,我們稱作VT
AIVR是常見的reperfusion rhythm。Reperfusion,代表的意思就是剛剛心肌梗塞,現在血管通了。
rtPA打通了、做PCI通了還是自發性通了。不管是哪一種通,都是reperfusion。就有可能會產生reperfusion rhythm。
AIVR就是其中一種。
此外還有出現TWI(T wave inversion),不管是biphasic TWI or deeply TWI➜這也就是常說的Wellens' syndrome。這也是reperfusion rhythm。
但是要注意喔,如果在有症狀下的TWI,指的是reciprocal change喔。
很常見的就是,inf.wall STEMI合併aVL出現STD/TWI,這邊的STD/TWI代表是reciprocal change
另外high lateral wall MI合併III出現STD/TWI,這邊的STD/TWI代表是reciprocal change
這邊可能有點難理解,簡單地說就是:
- 如果在有ACS S/S下,原本是upright T wave,後續病患沒有ACS S/S下(或改善),原本upright T wave變成TWI➜這就代表這個lead所供應的territory出現再灌流了(reperfusion)(Fig.10)
- Fig.10這邊的posterior reperfusion T wave是Upright的喔(很特別!!!),因為他是對應posterior wall的TWI,對應到ant. leads就形成高大的T wave
- 如果在有ACS S/S下,原本應該是upright T wave的lead,但是卻出現TWI,這時候要用超快手速,趕快看對側lead,是不是有STE出現。因為這個TWI/STD極有可能是reciprocal change(Fig.11)
- aVL➜III
- III➜aVL
- V6➜V1


所以Fig.8在08:20分的這個rhythm,看起來約略65-75 bpm之間。寬QRS,沒有明顯P wave。
這是AIVR

阿罵的ACS S/S也是緩解的狀態。
我把Fig.8加上當時,病患現場的症狀。

這裡我們可以藉由病患知道幾個重點:
- 病患出現AIVR,代表出現reperfusion,代表血管通了(有可能全通或部分通都有可能➜08:36雖然又出現AIVR,但仍有症狀)
- 出現AIVR代表good sign,但是不代表不會再度阻塞(re-occlusion)。Fig.12就可以看到病患過沒多久又出現ACS S/S,AIVR就消失了
- 雖然出現AIVR,Cath lab activation的速度不能停。直上導管室啊,拜託🙏!!!!
- Dr.Smith ECG在這篇文章裡面也提到,有時救援的側枝可以發展得相當快,少量的逆行灌流(retrograde perfusion)也足以引起心電圖變化。這就是不要使用reperfusion的ECG findings來讓導管延遲去做 6 。
最後我再多補充些AIVR的背景知識
AIVR要多少個PVC連在一起才算是AIVR呢?
- 要≧3個PVC連在一起,且速率介在40-120 bpm之間才可稱作AIVR 7
AIVR的速率,其實尚未統一,可參考下面四個定義:
- 40~120 bpm➡Amal定義(我自己喜歡用Amal這個定義,整數,好記)
- 一般來說,VT很少120 bpm,大都>130-140 bpm
- 50~110 bpm ➡這篇文章內的定義 8
- 50-120 bpm 在LITFL裡面的定義 9
- 60~110 bpm在ECG interpretation裡面的定義 10
❤️第三個問題,辨識出AIVR,知道血管通了又如何?
我常常在教學生看AIVR時,除了教他們基本定義外。另外我還會和他們解釋,這裡面暗藏了一個可能會出現的危機。
特別是心電圖新手,或者是young R、第一次值CCU的住院醫師,第一次上急診急救室的R都可能會出現的危機。
剛剛說了AIVR的定義是40-120 bpm。
先假設一個問題,如果你是第一次到CCU值班的醫師。
半小時前,CV總醫師和你說,學弟啊~~
剛剛我收了一個inf.wall STEMI的病患,我已經在導管室打通了,在RCA放了一個stent。等等病患就會到CCU後續照顧。
病患到了CCU,過沒多久,開始心律改變。
如果這時候的AIVR是60下,你認得出AIVR嗎?
如果這時候的AIVR是115下,你還是認得出AIVR嗎?
總醫師學長剛才和我說這病人是inf.wall STEMI,現在wide QRS tachycardia(115 bpm),你心裡會不會有那麼一絲絲念頭。
這.....是不是VT
如果,我們把AIVR當作VT治療會怎樣?
我往往會用一個比喻的方式來解釋這個AIVR。
AMI的出現,對於心臟是極大的破壞。當出現再灌流時(reperfusion),心臟就像剛剛經歷AMI,導致心臟這個電腦死當。
再灌流,就是心臟電腦重開機。
當心臟重開機的過程中,SA node/AV node都尚未恢復功能,所以沒有任何放電。
這時候只剩下ventricular pacemaker cell在放電。這是心臟的最後一燭光。這個放電是好的現象,也只有這個放電的出現,能夠支撐在重開機這階段的cardiac output來源。
如果,我們把AIVR當作VT,給予電擊或給藥。就是把這最後一燭光給撲滅
SA node沒功能
AV node沒功能
Ventricular pacemaker cell也被我們幹掉了XD
心臟就只能一直線了..................................................切記,切記!!!
看到AIVR,就是把自己雙手綁起來,不要拿起電擊板,不要開出任何抗心律不整藥物。通常過了5-10分鐘,SA node開始放電,就會蓋過AIVR,恢復sinus rhythm了
所以要辨識AIVR除了用rate來做粗略評估以外,也需要搭配病患臨床症狀一起看。(這是大重點!!!)
在ECG interpretation的這篇文章裡面也有說到,AIVR這個rate區間,並不是clear cut那麼絕對。 不是說心跳121 bpm就一定是VT,一定不是AIVR。 Ken grauer在這篇裡面就有提到,有一個gray zone:110-130 bpm之間 10 也就是在這gray zone的rate,可以wait and see。若沒有影響到vital sign,就可以考慮先觀察。不要那麼急著處置。
所以當臨床情境是剛剛心肌梗塞,之後出現wide QRS rhythm(Rate:40-120 bpm)。就要考慮AIVR。
主要的治療策略就是不要電擊/不要用抗心律不整藥物
除非懷疑是VT或伴隨嚴重的血行不穩。那麼治療的方向是恢復較快的sinus rate(例如協助改善缺血、給atropine提升交感 tone等),讓 sinus 把 ventricular focus搶回來,而不是去搞那個 ventricular rhythm 本身 11 。
↩️Back to case
病患後續做了導管

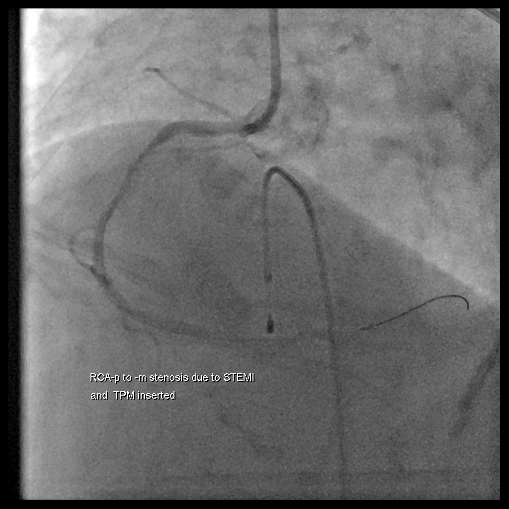
CAG report:Acute STEMI (IRA: RCA) with cardiogenic shock and bradycardia, CAD with 1-vessel disease (RCA-M: 100% acute total occlusion) s/p primary PCI with BMS*1 (Meril NEXGEN 2.75X32mm) over RCA-P to -M
學習重點:
- R't side ECG哪個lead最有價值?
- 不用R't side ECG要如何透過12 leads來猜可能有合併RVMI
- 為何要做R't side ECG?
- 有RVMI就一定不能使用NTG嗎?
- AIVR vs. VT
- AIVR的治療策略是什麼?
- 即使出現AIVR這個reperfusion rhythm,仍不要延遲導管
- Reperfusion TWI vs. reciprocal change
參考資料:
Right Ventricular Myocardial Infarction - StatPearls - NCBI Bookshelf | ncbi.nlm.nih.gov link ↩︎
Levis, J. (2016). ECG Diagnosis: Right Ventricular Myocardial Infarction. The Permanente Journal. https://doi.org/10.7812/TPP/16-105 ↩︎
Wilkinson-Stokes, M., Betson, J., & Sawyer, S. (2023). Adverse events from nitrate administration during right ventricular myocardial infarction: a systematic review and meta-analysis. Emergency Medicine Journal, 40(2), 108–113. https://doi.org/10/gqz57d ↩︎
Ferguson JJ, Diver DJ, Boldt M, et al. Significance of nitroglycerin-induced hypotension with inferior wall acute myocardial infarction. Am J Cardiol.1989;64:311–4. ↩︎
Robichaud, L., Ross, D., Proulx, M.-H., Légaré, S., Vacon, C., Xue, X., & Segal, E. (2016). Prehospital Nitroglycerin Safety in Inferior ST Elevation Myocardial Infarction. Prehospital Emergency Care, 20(1), 76–81. https://doi.org/10/gmsvrq ↩︎
Dr. Smith's ECG Blog: 46 year old with chest pain develops a wide complex rhythm -- see many examples - link ↩︎
Article: Accelerated Idioventricular Rhythm: Background, Pathophysiology, Etiology | emedicine.medscape.com ↩︎
Gildea, T. H., & Levis, J. T. (2018). ECG Diagnosis: Accelerated Idioventricular Rhythm. The Permanente Journal, 22. https://doi.org/10.7812/TPP/17-173 ↩︎
Article: Accelerated Idioventricular Rhythm (AIVR) | Life in the Fast Lane • LITFL ↩︎
Article: ECG Blog #108 (Ventricular Rhythms - AIVR - VT) | ecg-interpretation.blogspot.com ↩︎ ↩︎
Riera, A. R. P., Barros, R. B., de Sousa, F. D., & Baranchuk, A. (2010). Accelerated Idioventricular Rhythm: History and Chronology of the Main Discoveries. Indian Pacing and Electrophysiology Journal, 10(1), 40–48. https://pmc.ncbi.nlm.nih.gov/articles/PMC2803604/ ↩︎