41歲女性,到院30分鐘內,IHCA
來分享一個前天同事的Case。我覺得有趣的點,不是在於診斷出來是什麼問題,而是處理過程,再次考驗急診醫師是踩在薄冰上的一個科別。
41歲女性,到院時臉色蒼白、呼吸喘、心跳快。全身冒冷汗。自述一週前在他院進行子宮肌腺症手術。手術後陰道流血已經停止。也因為曾經貧血到Hgb 4.0,在他院輸血。
病患從入院到collapse,不到30分鐘。
病患說喘不過氣來......血氧一直掉。之後就沒了生命徵象。
緊急推入急救室急救。
開始CPR.....給予強心針.....插管。全套都一起來。
41歲,剛來急診不到30分鐘。說怎樣都要從鬼門關拉回來。
線上的四位急診醫師,全部都擠進了急救室。
過了一小段時間,ROSC
Call了CVS,希望先放ECMO,爭取一些檢查的時間。
CVS希望先做完CT,看看發生什麼事。
有同事掃了心超,沒有PEF。
病患的生命徵象還是不穩定
先再Call CVS把ECMO放上,再去CT?還是先CT後再說?
但是病患的狀況不夠穩定到,可以讓我們有後面的選擇。
先去CT,看看發生什麼事,我想病患從CT回來就只能走CPR這條路了。
血氧還是拉不起來,看起來病患又準備要飛走了。
我也看了一下心超,的確沒有水。但是RV dilate、LV動得不錯。
我們幾個人討論後,先把Chest CTA看aortic dissection改成看pulmonary embolism。
ROSC後的ECG如下

⭐️Rate:120 bpm
⭐️Rhythm:Sinus rhythm?有點存疑,因為Lead II的P wave似乎比Lead I還小。
真正的sinus rhythm:
- Lead I/II/aVF有upright P wave
- Lead II的P wave其amplitude要大於Lead I
- 真正的true sinus P wave在V1的P wave會是biphasic pattern(上下),而不是upright。
這邊要注意一個重點。
如果我們發現Lead I的P wave>Lead II的P wave,除了要想到不是來自sinus放電以外。還要想到可能是LA/LL reversal
如果真的是LA/LL reversal會有下列的ECG findings:(反過來想,當看到下列1與2就要想到LA/LL reversal的DDx)
- Lead III完全inverted(P、QRS、T都是negative)➔這邊要注意可能會造成pseudo S1Q3T3的誤判喔!!
- P wave在Lead I>Lead II

根據Fig.2來看➔當LA/LL reversal時,要怎麼看待limb lead呢?
- III會inverted
- I/II會交換
- aVL/aVF會交換
- aVR不變
有點複雜齁~~
沒關係,記得當Lead I的P wave>Lead II的P wave,而且又看到Q3T3➔請務必把LA/LL reversal擺在DDx
另外要注意S1Q3T3對於PE而言,是不specific也不sensitivity的一個ECG finding。
樓上的這句話就是,不要看到S1Q3T3直接診斷PE,也不是沒有S1Q3T3就不是PE。(請反覆唸三遍,就知道我在說什麼,還是不懂就唸到十遍)
讓我們再來看一張Amal mattu常常show出的PE ECG findings

S1Q3T3出現的機率真的不高。不要把它當成神主牌在拜啊~~
反倒是出現precordial leads有T wave的變化(RV strain變化),才是比較常見PE ECG findings。
ST也常出現。但這不是診斷PE的必要條件,但是相對較快的心跳是常見的findings( 通常抓>90 bpm),預期在明顯的PE,通常有此findings。
⭐️Axis還是屬於normal axis,不過deep S wave in I。一般正常的Lead I不太會出現明顯S wave。如果出現較深的S wave in lead I,暗示心軸axis可能有clockwise rotation。
⭐️Interval的部分,沒有出現QT prolong現象
⭐️Ischemia的部分
在Lead III/aVF有minimal STE與Lead I/aVL reciprocal STD change的變化。
所以有可能是inf.OMI嗎?
喔喔~~這有點麻煩了。
前面我們提到了,這張ECG有可能是LA/LL reversal。
如果ROSC這張真的是LA/LL reversal那麼應該長得怎樣呢?

I和II對調、aVL/aVF對調、Lead III整個反過來
原本我們認為的inf.OMI,事實上是proximal LAD出問題。
意思就是,如果一個真正的proxmal LAD的high lateral wall出問題,在LA/LL reversal導極裝錯的狀況下,會讓我們誤判成inf.OMI,也就是可能會認為RCA出問題了。有興趣可以參考這個類似個案
所以再次整理一下LA/LL reversal的幾個重點:
- 當I的P wave>II的P wave就要考慮
- 有可能會有pseudo Q3T3
- 如果有血管阻塞,可能會讓我們判讀culprit lesion判讀錯誤(當然CV man做進去,三條血管都會看啦,ECG判讀culprit lesion錯誤乃兵家常見之事XD)
另外還有一個有趣的地方Qr wave in V1
我們先來看看Amal mattu在他的書籍Electrocardiography in Emergency, Acute, and Critical Care 1 裡面講到PE的ECG finding

上述表格內提到qR or QR in V1
當初也一直在想到底是為什麼出現?
我們先來看看這張圖片

下方是Echo的PSAX view,左側是正常的,右側的PSAX view是因為出現RV dilate把Septum壓平,造成LV形成D sign。
在septum的電傳導正常會從septum的左側往右側放。所以我們看到在正常的狀況下,V1是接收到正面而來的電傳導,所以會先出現Upright的R wave。但是如果septum變形了(D sign+),當然放電還是從septum的左側往右側放。但是方向產生了變化。這個放電的向量不是正向朝著V1,而是有點離開V1。因此對於V1而言就會出現往下的Q wave,也就是Qr in V1。
我們再來看看一篇在2003年European Heart Journal的文章 2

下圖是文章中的ECG例子

這篇文章收集了151位疑似PE的病患,由兩位觀察者來判讀ECG。這151位中有75名確診為PE還多做echo、並且檢測TnI與pro-BNP數值。

上表可以看到Qr in V1與STposV1(指STE≧0.1 mV in V1) 具有很高的specificity(100%/99%),其PPV(陽性預測值)也都很高(100%/94%)。
- 很高的specificity代表這些特徵極少出現在非肺栓塞患者中,具有較強的診斷特異性。
- 很高的PPV代表若出現這些特徵,幾乎可以確定為肺栓塞
此外Qr in V1在這篇文章研究顯示是RV dysfunction最強的獨立預測因子。
小結論:
- Qr in V1對於PE有很高的specificity但是sensitivity不高➔也就是不常見,不過出現就要注意是否為PE
- Qr in V1的出現對於右心室功能不良也具有獨立預測功能➔也就是如果出現,就要小心可能有RV dysdfunction的狀況出現
個案繼續🚶♂️➡️
還沒去CT room來證明是PE.....ECG monitor開始Bradycardia
沒脈搏......PEA!!!!!!
Push epinephrine、開始另一輪的CPR
ECMO team還沒來,要不要先push rTPA 50 mg
可是push完後,等等放ECMO會不會一直出血造成嚴重的併發症
正在猶豫時,ECMO team推著大台小台機器進到急救室。
同事決定先等放ECMO。
On上ECMO後,爭取了檢查的時間。
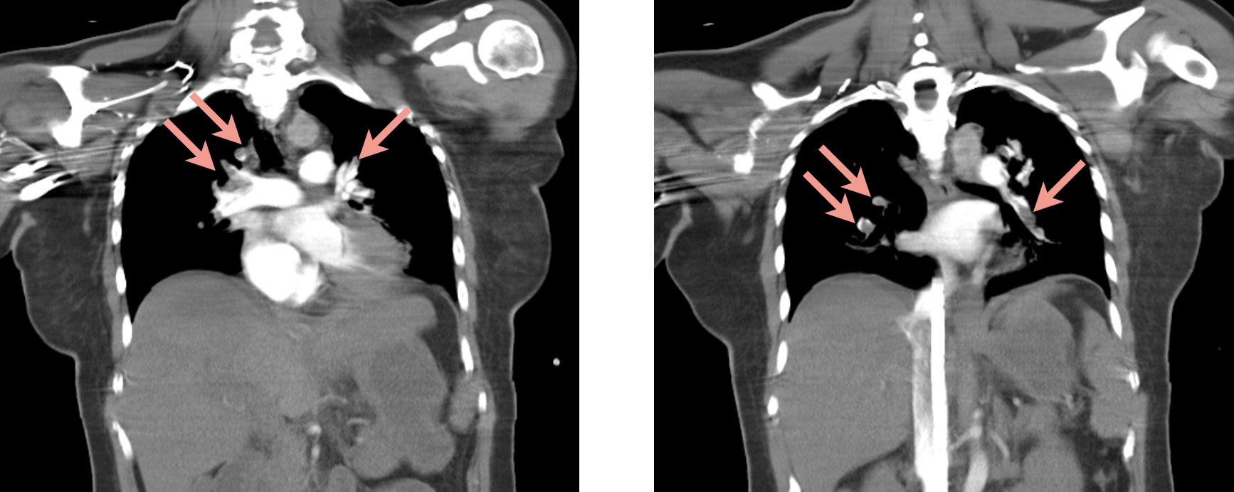
去了CT room

大片雙側肺栓塞
我覺得診斷不是重點。
因為有蠻多證據顯示就是肺栓塞:
ECG findings:
- Qr in V1、ST、deep S wave in I(但是不確定是否有LA/LL reversal)
Echo findings:
- 沒有pericardial effusion、出現RV dilate、LV在第一次ROSC後其實動得不錯
我覺得關鍵點在於決定什麼時候適合push rTPA
- 病患再度collapse,就push rTPA死馬當活馬醫了吧。情況不會更差了,因為現在就是最差的狀況了
- 可是push了rTPA,如果等等要on ECMO怎麼辦?CVS on ECMO時,一直出血,會不會一直翻白眼啊~~~~
不push,病患應該沒機會活下來。Push了,病患死於ECMO併發症。
寫到這裡,我又打了一身冷顫。
我們急診科,天生註定要踩著薄冰行走江湖的科別。
伸頭一刀、縮頭也是一刀。總之就是要被砍就對了。
難怪現在都招不到住院醫師........
歡迎有興趣走急診科的住院醫師,想讓生活有點刺激,來陽交大附設醫院。我們醫院目前還有一位住院醫師名額。目前正在進行第二期醫療大樓興建,總花費60億。(不好意思,讓我偷偷塞個葉蓓雯,本科很久沒有住院醫師了😅)

葉佩雯結束。
我覺得決定什麼時候適合push rTPA,要取決於CVS有多快可以到達急診XD( 前提要建立在有足夠證據高度懷疑PE或已證實PE )
當天CVS沒值班➔二話不說,就是push rTPA
當天CVS值班➔不能馬上來(我覺得需要10分鐘內到,畢竟安裝ECMO也是需要時間的),push rTPA
當天CVS值班➔可以立馬來裝,先不要push rTPA
我想臨床上一定有不少同業,也會遇到如此情境與情況。
有沒有文獻可以告訴我們,如果真先打rTPA,之後裝了ECMO就一定不行嗎?
同事問我們家的CVS,我們家CVS回答:
不建議,除非無法立刻ECMO backup。CVS:考量點在病患是否有其他診斷?與on ECMO後出血問題

這是一篇2022年的case report 3
內容描述一個腎移植病患因cardiac arrest,在接受ECMO之前施打rTPA後產生死亡的個案報告。該病患在術後出現胸痛和呼吸急促,隨後collapse,施打rTPA治療疑似肺栓塞後,病情惡化需進行 ECMO,但最終仍宣告不治,最終死因為急性心肌梗塞合併大範圍腹膜後出血。這項研究突顯在高出血風險患者中,於施打rTPA前考慮 ECMO 的重要性,並指出在未確定診斷肺栓塞前,應先on上ECMO 的可能性。
- 熊評論: 對於出血風險高的患者(例如,最近進行過重大手術的患者),更應如此。對照本case病患,病患一週前才於他院進行子宮肌腺症手術。的確如果先打了rTPA,有非常高風險會出血。
- 要打之前,靜下心來想想rTPA check list,再尋一遍是否有contraindication的存在與否。不要只想要當英雄,打了變狗熊都有可能。rTPA仿單在這裡
- 當病患不明原因collapse,沒有太多證據顯示是肺栓塞,如果要打rTPA。首先自己要先cardiomegaly(心臟要大😅),不然就等ECMO support,搶時間後,再行檢查排除其他問題。

讓我們再來看看一篇ICM 2024 八月份的一篇文章4

這篇研究在比較因肺栓塞(PE)接受VA-ECMO治療的患者,先前是否接受rTPA治療對其短期和長期結果的影響。
研究將患者分為兩組:接受VA-ECMO前未接受rTPA治療的患者(T-組:Thrombolysis-)和接受rTPA失敗後才接受VA-ECMO的患者(T+組:Thrombolysis+)
T-組:41名患者
T+組:31名患者
針對出血事件,這篇文章是採用 GUSTO (Global Utilization of Streptokinase and TPA for Occluded Arteries) 分類來定義出血事件:
- GUSTO 1:代表嚴重或危及生命的出血,如腦出血或引起血行動力學不穩定的出血性休克。
- GUSTO 2:代表中度出血,需要輸血。
- GUSTO 3:代表其他不需要輸血或沒有引起血行動力學不穩定的出血事件。
研究結果顯示,兩組患者在 GUSTO ≦ 2 (包括中度至嚴重出血)的出血事件發生率沒有顯著差異 (59% vs 61%, p=1)
兩組患者的腦出血發生率沒有顯著差異 (T-組 10% vs. T+組 3%, p=0.38)
兩組在輸血需求量方面沒有顯著差異 (紅血球、血漿、血小板的輸注量均無顯著差異)
儘管過去有研究指出,在ECMO之前使用rTPA可能會增加出血風險,但本研究結果顯示,對於接受ECMO治療的高風險PE患者而言,先前是否接受rTPA治療不會顯著影響嚴重出血事件的發生率
研究強調,雖然出血事件在接受VA-ECMO的高風險PE患者中仍然常見,但先前接受rTPA治療並不會顯著增加出血風險
這表示,即使患者先前接受過rTPA治療,VA-ECMO仍然是一種可行的治療選項,不應因顧慮出血風險而排除
總結而言,雖然接受ECMO治療的高風險PE患者仍有出血風險,但研究結果顯示,在ECMO之前接受rTPA並不會顯著增加嚴重出血事件的發生率。因此在考慮對高風險PE患者使用VA-ECMO時,不應因擔心出血風險而排除先前接受過rTPA治療的患者。
我們來看看Uptodate的建議如何56:
尚未確定PE診斷
- 在高度懷疑PE的病患(有足夠多的證據,例如bedside echo等),若血行不穩定➔建議使用rTPA,而非使用empiric anticoagulant或不治療
- 如果中低度懷疑PE,但血行不穩定➔建議使用empiric anticoagulant agents,不建議rTPA
已經確立PE診斷
- 沒有rTPA contraindication,且refractory hypotension➔建議rTPA,接著給予anticoagulant agents。不建議單獨給anticoagulant agents
- Refractory hypotension的定義➔收縮壓<90 mmHg、需要使用血管收縮劑,或在復甦後收縮壓從baseline下降≥40 mmHg 持續 15 分鐘
- 建議在aPTT低於正常上限的兩倍後才開始UFH輸注,以避免增加出血風險。
- 具有rTPA contraindication的患者,建議進行導管或外科血栓取出術,而非觀察
- 沒有rTPA contraindication,且refractory hypotension➔建議rTPA,接著給予anticoagulant agents。不建議單獨給anticoagulant agents
已經在CPR的PE或高度懷疑PE病患
- CPR的病患 — 在cardiac arrest的患者中,不應常規施行rTPA治療。然而,對於懷疑由肺栓塞引起的cardiac arrest(或peri-cardiac arrest)的患者,是否施行治療作為潛在的救命措施可以根據具體情況考慮。
- 案例系列報告顯示,當cardiac arrest是由於懷疑或確認的急性肺栓塞所致時,rTPA治療在CPR過程中有一定的成功率
- 一項retrospective study,有 23 名因確認的大量肺栓塞而出現PEA的患者,在以減少劑量 50 mg,IV push 2分鐘 50 mg rTPA後,於 2 至 15 分鐘內恢復自主循環(ROSC)
- rTPA給的劑量➔若病患已經CPR或快要CPR,2分鐘IV bolus 50 mg比較實用。若病患非cardiac arrest病患,就100 mg給2小時。若50 mg bolus 2分鐘,仍未ROSC,可再15分鐘後再重複給予50 mg
- CPR的病患 — 在cardiac arrest的患者中,不應常規施行rTPA治療。然而,對於懷疑由肺栓塞引起的cardiac arrest(或peri-cardiac arrest)的患者,是否施行治療作為潛在的救命措施可以根據具體情況考慮。
V-A ECMO 可以作為單一療法或作為最終治療(例如,外科栓塞取出術或導管治療)的橋接療法(bridge)。VA-ECMO 也可以在rTPA治療massive PE具有contraindication的狀況下,先作為初始策略。
綜合以上,當我們高度懷疑PE(尚未由Chest CTA來證實,但是echo/ECG有findings、臨床情境高度懷疑:長途飛機、近期開大刀、近期臥床、癌症病史等等),或是已經證實PE。病患突然collapse or 快要collapse。可以call CVS來on ECMO,當作後續治療的bridge。如果CVS要來,但是拖太久。也不要延遲bolus rTPA 50 mg。根據ICM的文獻,出現中/重度出血事件,沒有顯著上升。所以不要害怕給rTPA,之後on ECMO會增加中/重度出血事件。
反而是,如果我們不是高度懷疑PE造成的collapse,那麼不應給rTPA。

學習重點:
- Sinus rhythm的ECG findings
- 怎樣的ECG findings,需要考慮LA/LL reversal? 可能出現pseudo Q3T3與Culprit lesion的誤判
- Qr in V1的形成原理與重要性(高specificity與RV dysfunction獨立因子)
- 給rTPA之後on ECMO,是否會增加中/重度出血事件?
- Uptodate對於PE造成的cardiac arrest病患建議為何?
參考資料:
Amazon.com: Electrocardiography in Emergency, Acute, and Critical Care: 9781732748606: Amal Mattu, MD, FACEP, Jeffrey A. Tabas, MD, FACEP, William Brady, MD, FACEP, FAAEM: 圖書 - link ↩︎
QR in V1 – an ECG sign associated with right ventricular strain and adverse clinical outcome in pulmonary embolism | European Heart Journal | Oxford Academic - link ↩︎
Negative Outcome Following Systemic Alteplase Administration Prior to Extracorporeal Membrane Oxygenation in a Kidney Transplant Patient With Cardiac Arrest: A Case Report | Connor | Journal of Clinical Medicine Research - link ↩︎
Thrombolysis before venoarterial ECMO for high-risk pulmonary embolism: a retrospective cohort study - PubMed - link ↩︎
Treatment, prognosis, and follow-up of acute pulmonary embolism in adults - UpToDate - [link](https://www.uptodate.com/contents/treatment-prognosis-and-follow-up-of-acute-pulmonary-embolism-in-adults?search=pulmonary embolism&source=search_result&selectedTitle=1~150&usage_type=default&display_rank=1#H20) ↩︎
Approach to thrombolytic (fibrinolytic) therapy in acute pulmonary embolism: Patient selection and administration - UpToDate - [link](https://www.uptodate.com/contents/approach-to-thrombolytic-fibrinolytic-therapy-in-acute-pulmonary-embolism-patient-selection-and-administration?sectionName=HEMODYNAMICALLY UNSTABLE PATIENTS (HIGH-RISK PULMONARY EMBOLISM)&search=pulmonary embolism&topicRef=8265&anchor=H613644316&source=see_link#H22) ↩︎